Director of the National Cancer Institute (NCI) Dr. Kimryn Rathmell, third from right, answers questions from reporters during an event with NASA and the Department of Health and Human Services (HHS) to highlight how the agencies are making progress toward President Joe Biden and First Lady Jill Biden’s Cancer Moonshot initiative, Thursday, March 21, 2024, in the Earth Information Center at the Mary W. Jackson NASA Headquarters building in Washington. NASA is working with agencies and researchers across the federal government to help cut the nation’s cancer death rate by at least 50% in the next 25 years, a goal of the Cancer Moonshot Initiative. Photo Credit: (NASA/Keegan Barber)
Cancer Moonshot Event at NASA Headquarters
Director of the National Cancer Institute (NCI) Dr. Kimryn Rathmell delivers remarks during an event with NASA and the Department of Health and Human Services (HHS) to highlight how the agencies are making progress toward President Joe Biden and First Lady Jill Biden’s Cancer Moonshot initiative, Thursday, March 21, 2024, in the Earth Information Center at the Mary W. Jackson NASA Headquarters building in Washington. NASA is working with agencies and researchers across the federal government to help cut the nation’s cancer death rate by at least 50% in the next 25 years, a goal of the Cancer Moonshot Initiative. Photo Credit: (NASA/Keegan Barber)
Cancer Moonshot Event at NASA Headquarters
Director of the National Cancer Institute (NCI) Dr. Kimryn Rathmell delivers remarks during an event with NASA and the Department of Health and Human Services (HHS) to highlight how the agencies are making progress toward President Joe Biden and First Lady Jill Biden’s Cancer Moonshot initiative, Thursday, March 21, 2024, in the Earth Information Center at the Mary W. Jackson NASA Headquarters building in Washington. NASA is working with agencies and researchers across the federal government to help cut the nation’s cancer death rate by at least 50% in the next 25 years, a goal of the Cancer Moonshot Initiative. Photo Credit: (NASA/Keegan Barber)
Cancer Moonshot Event at NASA Headquarters
NASA astronaut Ron Garan gives a keynote address at the Susan G. Komen International Global Women's Cancer Summit, held on World Cancer Day, Monday, February 4, 2013 in Washington, D.C.  Attendees include world leaders in health and women’s cancers, experts in technology and innovation; government leaders, private sector and industry leaders, members of the global health community, media and representatives from community-level organizations.  Photo Credit: (NASA/Carla Cioffi)
Garan at Women's Cancer Summit
NASA astronaut Ron Garan gives a keynote address at the Susan G. Komen International Global Women's Cancer Summit, held on World Cancer Day, Monday, February 4, 2013 in Washington, D.C.  Attendees include world leaders in health and women’s cancers, experts in technology and innovation; government leaders, private sector and industry leaders, members of the global health community, media and representatives from community-level organizations.  Photo Credit: (NASA/Carla Cioffi)
Garan at Women's Cancer Summit
NASA astronaut Ron Garan gives a keynote address at the Susan G. Komen International Global Women's Cancer Summit, held on World Cancer Day, Monday, February 4, 2013 in Washington, D.C.  Attendees include world leaders in health and women’s cancers, experts in technology and innovation; government leaders, private sector and industry leaders, members of the global health community, media and representatives from community-level organizations.  Photo Credit: (NASA/Carla Cioffi)
Garan at Women's Cancer Summit
NASA astronaut Ron Garan gives a keynote address at the Susan G. Komen International Global Women's Cancer Summit, held on World Cancer Day, Monday, February 4, 2013 in Washington, D.C.  Attendees include world leaders in health and women’s cancers, experts in technology and innovation; government leaders, private sector and industry leaders, members of the global health community, media and representatives from community-level organizations.  Photo Credit: (NASA/Carla Cioffi)
Garan at Women's Cancer Summit
Department of Health and Human Services (HHS) Secretary Xavier Becerra delivers remarks during an event with NASA to highlight how the agencies are making progress toward President Joe Biden and First Lady Jill Biden’s Cancer Moonshot initiative, Thursday, March 21, 2024, in the Earth Information Center at the Mary W. Jackson NASA Headquarters building in Washington. NASA is working with agencies and researchers across the federal government to help cut the nation’s cancer death rate by at least 50% in the next 25 years, a goal of the Cancer Moonshot Initiative. Photo Credit: (NASA/Keegan Barber)
Cancer Moonshot Event at NASA Headquarters
NASA Deputy Press Secretary Faith McKie delivers remarks during an event with the Department of Health and Human Services (HHS) to highlight how the agencies are making progress toward President Joe Biden and First Lady Jill Biden’s Cancer Moonshot initiative, Thursday, March 21, 2024, in the Earth Information Center at the Mary W. Jackson NASA Headquarters building in Washington. NASA is working with agencies and researchers across the federal government to help cut the nation’s cancer death rate by at least 50% in the next 25 years, a goal of the Cancer Moonshot Initiative. Photo Credit: (NASA/Keegan Barber)
Cancer Moonshot Event at NASA Headquarters
NASA Administrator Bill Nelson, left, and Department of Health and Human Services (HHS) Secretary Xavier Becerra are seen following an event that highlighted how the agencies are making progress toward President Joe Biden and First Lady Jill Biden’s Cancer Moonshot initiative, Thursday, March 21, 2024, in the Earth Information Center at the Mary W. Jackson NASA Headquarters building in Washington. NASA is working with agencies and researchers across the federal government to help cut the nation’s cancer death rate by at least 50% in the next 25 years, a goal of the Cancer Moonshot Initiative. Photo Credit: (NASA/Keegan Barber)
Cancer Moonshot Event at NASA Headquarters
Department of Health and Human Services (HHS) Secretary Xavier Becerra delivers remarks during an event with NASA to highlight how the agencies are making progress toward President Joe Biden and First Lady Jill Biden’s Cancer Moonshot initiative, Thursday, March 21, 2024, in the Earth Information Center at the Mary W. Jackson NASA Headquarters building in Washington. NASA is working with agencies and researchers across the federal government to help cut the nation’s cancer death rate by at least 50% in the next 25 years, a goal of the Cancer Moonshot Initiative. Photo Credit: (NASA/Keegan Barber)
Cancer Moonshot Event at NASA Headquarters
NASA Administrator Bill Nelson delivers remarks during an event with the Department of Health and Human Services (HHS) to highlight how the agencies are making progress toward President Joe Biden and First Lady Jill Biden’s Cancer Moonshot initiative, Thursday, March 21, 2024, in the Earth Information Center at the Mary W. Jackson NASA Headquarters building in Washington. NASA is working with agencies and researchers across the federal government to help cut the nation’s cancer death rate by at least 50% in the next 25 years, a goal of the Cancer Moonshot Initiative. Photo Credit: (NASA/Keegan Barber)
Cancer Moonshot Event at NASA Headquarters
NASA Administrator Bill Nelson delivers remarks during an event with Department of Health and Human Services Secretary Xavier Becerra to highlight how the agencies are making progress toward President Joe Biden and First Lady Jill Biden’s Cancer Moonshot initiative, Thursday, March 21, 2024, in the Earth Information Center at the Mary W. Jackson NASA Headquarters building in Washington. NASA is working with agencies and researchers across the federal government to help cut the nation’s cancer death rate by at least 50% in the next 25 years, a goal of the Cancer Moonshot Initiative. Photo Credit: (NASA/Keegan Barber)
Cancer Moonshot Event at NASA Headquarters
From left to right, UAE (United Arab Emirates) astronaut Sultan Alneyadi, NASA astronaut Stephen Bowen, Director of the National Cancer Institute (NCI) Dr. Kimryn Rathmell, Department of Health and Human Services (HHS) Secretary Xavier Becerra, NASA Administrator Bill Nelson, and NASA astronauts Frank Rubio and Warren Hoburg pose for a photo following an event that highlighted how the agencies are making progress toward President Joe Biden and First Lady Jill Biden’s Cancer Moonshot initiative, Thursday, March 21, 2024, in the Earth Information Center at the Mary W. Jackson NASA Headquarters building in Washington. NASA is working with agencies and researchers across the federal government to help cut the nation’s cancer death rate by at least 50% in the next 25 years, a goal of the Cancer Moonshot Initiative. Alneyadi, Bowen, Rubio, and Hoburg recently returned from missions aboard the International Space Station, a hub for scientific research and technology including demonstrations to help end cancer as we know it.   Photo Credit: (NASA/Keegan Barber)
Cancer Moonshot Event at NASA Headquarters
NASA astronaut Stephen Bowen delivers remarks during an event with the Department of Health and Human Services (HHS) to highlight how the agencies are making progress toward President Joe Biden and First Lady Jill Biden’s Cancer Moonshot initiative, Thursday, March 21, 2024, in the Earth Information Center at the Mary W. Jackson NASA Headquarters building in Washington. NASA is working with agencies and researchers across the federal government to help cut the nation’s cancer death rate by at least 50% in the next 25 years, a goal of the Cancer Moonshot Initiative. Bowen recently returned from a mission aboard the International Space Station, a hub for scientific research and technology including demonstrations to help end cancer as we know it.   Photo Credit: (NASA/Keegan Barber)
Cancer Moonshot Event at NASA Headquarters
NASA astronaut Frank Rubio delivers remarks during an event with the Department of Health and Human Services (HHS) to highlight how the agencies are making progress toward President Joe Biden and First Lady Jill Biden’s Cancer Moonshot initiative, Thursday, March 21, 2024, in the Earth Information Center at the Mary W. Jackson NASA Headquarters building in Washington. NASA is working with agencies and researchers across the federal government to help cut the nation’s cancer death rate by at least 50% in the next 25 years, a goal of the Cancer Moonshot Initiative. Rubio recently returned from missions aboard the International Space Station, a hub for scientific research and technology including demonstrations to help end cancer as we know it.   Photo Credit: (NASA/Keegan Barber)
Cancer Moonshot Event at NASA Headquarters
Mission patches are seen on NASA astronaut Stephen Bowen's flight suit during an event with NASA and the Department of Health and Human (HHS) to highlight how the agencies are making progress toward President Joe Biden and First Lady Jill Biden’s Cancer Moonshot initiative, Thursday, March 21, 2024, in the Earth Information Center at the Mary W. Jackson NASA Headquarters building in Washington. NASA is working with agencies and researchers across the federal government to help cut the nation’s cancer death rate by at least 50% in the next 25 years, a goal of the Cancer Moonshot Initiative. Photo Credit: (NASA/Keegan Barber)
Cancer Moonshot Event at NASA Headquarters
NASA Administrator Bill Nelson delivers remarks during an event with Department of Health and Human Services Secretary Xavier Becerra to highlight how the agencies are making progress toward President Joe Biden and First Lady Jill Biden’s Cancer Moonshot initiative, Thursday, March 21, 2024, in the Earth Information Center at the Mary W. Jackson NASA Headquarters building in Washington. NASA is working with agencies and researchers across the federal government to help cut the nation’s cancer death rate by at least 50% in the next 25 years, a goal of the Cancer Moonshot Initiative. Photo Credit: (NASA/Keegan Barber)
Cancer Moonshot event at NASA Headquarters
THE HAND HELD DEVICE USED FOR OF LED TREATMENT TO HELP REDUCE RECOVERY TIME FROM CANCER TREATMENT RELATED ORAL SORES
1001322
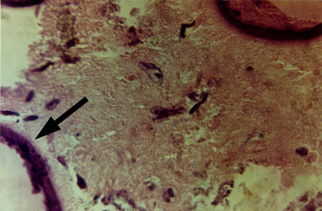
High magnification view of human primary breast tumor cells after 56 days of culture in a NASA Bioreactor. The arrow points to bead surface indicating breast cancer cells (as noted by the staining of tumor cell intermediate filaments). NASA's Marshall Space Flight Center (MSFC) is sponsoring research with Bioreactors, rotating wall vessels designed to grow tissue samples in space, to understand how breast cancer works. This ground-based work studies the growth and assembly of human mammary epithelial cell (HMEC) from breast cancer susceptible tissue. Radiation can make the cells cancerous, thus allowing better comparisons of healthy vs. tunorous tissue. Credit: Dr. Jearne Becker, University of South Florida
Microgravity
Human primary breast tumor cells after 49 days of growth in a NASA Bioreactor. Tumor cells aggregate on microcarrier beads (indicated by arrow). NASA's Marshall Space Flight Center (MSFC) is sponsoring research with Bioreactors, rotating wall vessels designed to grow tissue samples in space, to understand how breast cancer works. This ground-based work studies the growth and assembly of human mammary epithelial cell (HMEC) from breast cancer susceptible tissue. Radiation can make the cells cancerous, thus allowing better comparisons of healthy vs. tunorous tissue. Credit: Dr. Jearne Becker, University of South Florida
Microgravity
A DEMONSTRATION OF HOW LED TREATMENT CAN HELP REDUCE RECOVERY TIME FROM CANCER TREATMENT RELATED ORAL SORES
1001323
A DEMONSTRATION OF HOW LED TREATMENT CAN HELP REDUCE RECOVERY TIME FROM CANCER TREATMENT RELATED ORAL SORES
1001324
Time-lapse exposure depicts Bioreactor rotation. NASA's Marshall Space Flight Center (MSFC) is sponsoring research with Bioreactors, rotating wall vessels designed to grow tissue samples in space, to understand how breast cancer works. This ground-based work studies the growth and assembly of human mammary epithelial cells (HMEC) from breast cancer susceptible tissue. Radiation can make the cells cancerous, thus allowing better comparisons of healthy vs. tunourous tissues.
Microgravity
Breast tissue specimens in traditional sample dishes. NASA's Marshall Space Flight Center (MSFC) is sponsoring research with Bioreactors, rotating wall vessels designed to grow tissue samples in space, to understand how breast cancer works. This ground-based work studies the growth and assembly of human mammary epithelial cells (HMEC) from breast cancer susceptible tissue. Radiation can make the cells cancerous, thus allowing better comparisons of healthy vs. tunourous tissues.
Microgravity
High magnification of view of tumor cells aggregate on microcarrier beads, illustrting breast cells with intercellular boundaires on bead surface and aggregates of cells achieving 3-deminstional growth outward from bead after 56 days of culture in a NASA Bioreactor. NASA's Marshall Space Flight Center (MSFC) is sponsoring research with Bioreactors, rotating wall vessels designed to grow tissue samples in space, to understand how breast cancer works. This ground-based work studies the growth and assembly of human mammary epithelial cell (HMEC) from breast cancer susceptible tissue. Radiation can make the cells cancerous, thus allowing better comparisons of healthy vs. tunorous tissue. Credit: Dr. Jearne Becker, University of South Florida.
Microgravity
Isolation of human mammary epithelial cells (HMEC) from breast cancer susceptible tissue. Outgrowth of cells from duct element in upper right corner cultured in a standard dish; most cells spontaneously die during early cell divisions, but a few will establish long-term growth. NASA's Marshall Space Flight Center (MSFC) is sponsoring research with Bioreactors, rotating wall vessels designed to grow tissue samples in space, to understand how breast cancer works. This ground-based work studies the growth and assembly of human mammary epithelial cell (HMEC) from breast cancer susceptible tissue. Radiation can make the cells cancerous, thus allowing better comparisons of healthy vs. tunorous tissue. Credit: Dr. Robert Tichmond, NASA/Marshall Space Flight Center (MSFC).
Microgravity
Isolation of human mammary epithelial cells (HMEC) from breast cancer susceptible tissue. Same long-term growth human mammary epithelial cells (HMEC), but after 3 weeks in concinuous culture. Note attempts to reform duct elements, but this time in two dimensions in a dish rather that in three demensions in tissue. NASA's Marshall Space Flight Center (MSFC) is sponsoring research with Bioreactors, rotating wall vessels designed to grow tissue samples in space, to understand how breast cancer works. This ground-based work studies the growth and assembly of human mammary epithelial cell (HMEC) from breast cancer susceptible tissue. Radiation can make the cells cancerous, thus allowing better comparisons of healthy vs. tunorous tissue. Credit: Dr. Robert Tichmond, NASA/Marshall Space Flight Center (MSFC).
Microgravity
Dr. Harry Mahtani analyzes the gas content of nutrient media from Bioreactor used in research on human breast cancer. NASA's Marshall Space Flight Center (MSFC) is sponsoring research with Bioreactors, rotating wall vessels designed to grow tissue samples in space, to understand how breast cancer works. This ground-based work studies the growth and assembly of human mammary epithelial cells (HMEC) from breast cancer susceptible tissue. Radiation can make the cells cancerous, thus allowing better comparisons of healthy vs. tunourous tissues.
Microgravity
Dr. Robert Richmond extracts breast cell tissue from one of two liquid nitrogen dewars. NASA's Marshall Space Flight Center (MSFC) is sponsoring research with Bioreactors, rotating wall vessels designed to grow tissue samples in space, to understand how breast cancer works. This ground-based work studies the growth and assembly of human mammary epithelial cells (HMEC) from breast cancer susceptible tissue. Radiation can make the cells cancerous, thus allowing better comparisons of healthy vs. tunourous tissues.
Microgravity
NASA's Marshall Space Flight Center (MSFC) is sponsoring research with Bioreactors, rotating wall vessels designed to grow tissue samples in space, to understand how breast cancer works. This ground-based work studies the growth and assembly of human mammary epithelial cells (HMEC) from breast cancer susceptible tissue. Radiation can make the cells cancerous, thus allowing better comparisons of healthy vs. tunourous tissues. Here, two High-Aspect Ratio Vessels turn at about 12 rmp to keep breast tissue constructs suspended inside the culture media. Syringes allow scientists to pull for analysis during growth sequences. The tube in the center is a water bubbler that dehumidifies the air to prevent evaporation of the media and thus the appearance of destructive bubbles in the bioreactor.
Microgravity
Isolation of human mammary epithelial cells (HMEC) from breast cancer susceptible tissue; A: Duct element recovered from breast tissue digest. B: Outgrowth of cells from duct element in upper right corner cultured in a standard dish; most cells spontaneousely die during early cell divisions, but a few will establish long-term growth. C: Isolate of long-term frowth HMEC from outgrowth of duct element; cells shown soon after isolation and in early full-cell contact growth in culture in a dish. D: same long-term growth HMEC, but after 3 weeks in late full-cell contact growth in a continuous culture in a dish. Note attempts to reform duct elements but this in two demensions in a dish rather than in three dimensions in tissue. NASA's Marshall Space Flight Center (MSFC) is sponsoring research with Bioreactors, rotating wall vessels designed to grow tissue samples in space, to understand how breast cancer works. This ground-based work studies the growth and assembly of human mammary epithelial cell (HMEC) from breast cancer susceptible tissue. Radiation can make the cells cancerous, thus allowing better comparisons of healthy vs. tunorous tissue. Credit: Dr. Robert Richmond, NASA/Marshall Space Flight Center (MSFC).
Microgravity
Epithelial cell monoculture: Long-term growth of human mammary epithelial cells (HMEC) grown in monoculture as 3-dimensional constructions in the presence of attachment beads in the NASA Bioreactor. A: A typical construct about 3.5 mm (less than 1/8th inch) in diameter with slightly dehydrted, crinkled beads contained on the surface as well as within the 3-dimensional structure. B: The center of these constructs is hollow. Crinkling of the beads causes a few to fall out, leaving crater-like impressiions in the construct. The central impression shows a small hole that accesses the hollow center of the construct. C: A closeup view of the cells and the hole the central impression. D: Closer views of cells in the construct showing sell-to-cell interactions. NASA's Marshall Space Flight Center (MSFC) is sponsoring research with Bioreactors, rotating wall vessels designed to grow tissue samples in space, to understand how breast cancer works. This ground-based work studies the growth and assembly of human mammary epithelial cell (HMEC) from breast cancer susceptible tissue. Radiation can make the cells cancerous, thus allowing better comparisons of healthy vs. tunorous tissue. Credit: Dr. Robert Richmond, NASA/Marshall Space Flight Center (MSFC).
Microgravity
Epithelial and fibroblast cell coculture: Long-term growth human mammary epithelial cells (HMEC) admixed in coculture with fibroblast from the same initial breast tissue grown as 3-dimenstional constructions in the presence of attachment beads in the NASA Bioreactor. A: A typical constrct about 2.0 mm in diameter without beads on the surface. The center of these constrcts is hollow, and beads are organized about the irner surface. Although the coculture provides smaller constructs than the monoculture, the metabolic of the organized cells is about the same. B, C, D: Closer views of cells showing that the shape of cells and cell-to-cell interactions apprear different in the coculture than in the monoculture constructs. NASA's Marshall Space Flight Center (MSFC) is sponsoring research with Bioreactors, rotating wall vessels designed to grow tissue samples in space, to understand how breast cancer works. This ground-based work studies the growth and assembly of human mammary epithelial cell (HMEC) from breast cancer susceptible tissue. Radiation can make the cells cancerous, thus allowing better comparisons of healthy vs. tunorous tissue. Credit: Dr. Robert Richmond, NASA/Marshall Space Flight Center (MSFC).
Microgravity
A special lighting technology was developed for space-based commercial plant growth research on NASA's Space Shuttle. Surgeons have used this technology to treat brain cancer on Earth, in two successful operations. The treatment technique called photodynamic therapy, requires the surgeon to use tiny pinhead-size Light Emitting Diodes (LEDs) (a source releasing long wavelengths of light) to activate light-sensitive, tumor-treating drugs. Laser light has been used for this type of surgery in the past, but the LED light illuminates through all nearby tissues, reaching parts of a tumor that shorter wavelengths of laser light carnot. The new probe is safer because the longer wavelengths of light are cooler than the shorter wavelengths of laser light, making the LED less likely to injure normal brain tissue near the tumor. It can also be used for hours at a time while still remaining cool to the touch. The LED probe consists of 144 tiny pinhead-size diodes, is 9-inches long, and about one-half-inch in diameter. The small balloon aids in even distribution of the light source. The LED light source is compact, about the size of a briefcase, and can be purchased for a fraction of the cost of a laser. The probe was developed for photodynamic cancer therapy by the Marshall Space Flight Center under a NASA Small Business Innovative Research program grant.
Benefit from NASA
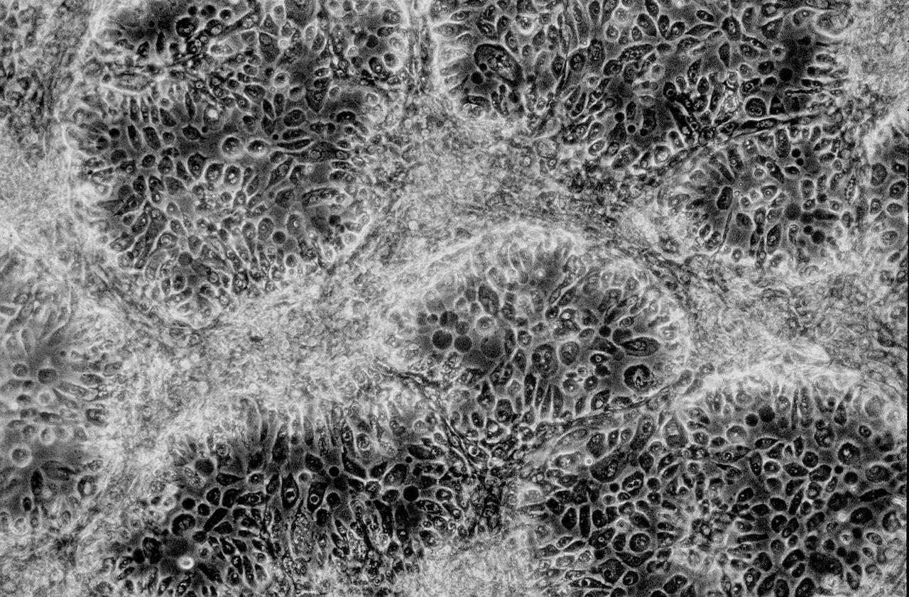
Within five days, bioreactor cultivated human colon cancer cells (shown) grown in Microgravity on the STS-70 mission in 1995, had grown 30 times the volume of the control specimens on Earth.  The samples grown in space had a higher level of cellular organization and specialization.  Because they more closely resemble tumors found in the body, microgravity grown cell cultures are ideal for research purposes.
Biotechnology
A cancer patient undergoes treatment in the Neutron Therapy Treatment Facility, or Cylotron, at the National Aeronautics and Space Administration (NASA) Lewis Research Center. After World War II Lewis researchers became interested in nuclear energy for propulsion. The focused their efforts on thermodynamics and strength of materials after radiation. In 1950 an 80-person Nuclear Reactor Division was created, and a cyclotron was built behind the Materials and Structures Laboratory. An in-house nuclear school was established to train these researchers in their new field. NASA cancelled its entire nuclear program in January 1973, just as the cyclotron was about to resume operations after a major upgrade.    In 1975 the Cleveland Clinic Foundation partnered with NASA Lewis to use the cyclotron for a new type of radiation treatment for cancer patients. The cyclotron split beryllium atoms which caused neutrons to be released. The neutrons were streamed directly at the patient’s tumor. The facility had a dual-beam system that could target the tumor both vertically and horizontally. Over the course of five years, the cyclotron was used to treat 1200 patients. It was found to be particularly effective on salivary gland, prostrate, and other tumors. It was not as successful with tumors of the central nervous system. The program was terminated in 1980 as the Clinic began concentrating on non-radiation treatments.
Cyclotron Provides Neutron Therapy for Cancer Patients
The red light from the Light Emitting Diode (LED) probe shines through the fingers of Dr. Harry Whelan, a pediatric neurologist at the Children's Hospital of Wisconsin in Milwaukee. Dr. Whelan uses the long waves of light from the LED surgical probe to activate special drugs that kill brain tumors. Laser light previously has been used for this type of surgery, but the LED light illuminates through all nearby tissues, reaching parts of tumors that shorter wavelengths of laser light carnot. The new probe is safer because the longer wavelengths of light are cooler than the shorter wavelengths of laser light, making the LED less likely to injure normal brain tissue near the tumor. Also, it can be used for hours at a time while still remaining cool to the touch. The probe was developed for photodynamic cancer therapy under a NASA Small Business Innovative Research Program grant. The program is part of NASA's Technology Transfer Department at the Marshall Space Flight Center.
Benefit from NASA
SMART probe' Computerized Cancer Diagnostic Tool:  A NASA Stanford Team is in the preliminary stages of developing a probe for breast cancer detection.
ARC-1998-ACD98-0200-1
A special lighting technology was developed for space-based commercial plant growth research on NASA's Space Shuttle. Surgeons have used this technology to treat brain cancer on Earth, in two successful operations. The treatment technique, called Photodynamic Therapy, requires the surgeon to use tiny, pinhead-size Light Emitting Diodes (LEDs) (a source that releases long wavelengths of light ) to activate light-sensitive, tumor-treating drugs. "A young woman operated on in May 1999 has fully recovered with no complications and no evidence of the tumor coming back," said Dr. Harry Whelan, a pediatric neurologist at the Medical Hospital of Wisconsin in Milwaukee. Laser light has been used for this type of surgery in the past, but the LED light illuminates through all nearby tissues, reaching parts of a tumor that shorter wavelengths of laser light carnot. The new probe is safer because the longer wavelengths of light are cooler than the shorter wavelengths of laser light, making the LED less likely to injure normal brain tissue near the tumor. It can be used for hours at a time while still remaining cool to the touch. The LED light source is compact, about the size of a briefcase, and can be purchased for a fraction of the cost of a laser. The LEDs, developed and managed by NASA's Marshall Space Flight Center, have been used on seven Space Shuttle flights inside the Microgravity Astroculture Facility. This technology has also been successfully used to further commercial research in crop growth.
Benefit from NASA
Human primary breast tumor cells after 56 days of culture in a NASA Bioreactor. A cross-section of a construct, grown from surgical specimens of brease cancer, stained for microscopic examination, reveals areas of tumor cells dispersed throughout the non-epithelial cell background. The arrow denotes the foci of breast cancer cells. NASA's Marshall Space Flight Center (MSFC) is sponsoring research with Bioreactors, rotating wall vessels designed to grow tissue samples in space, to understand how breast cancer works. This ground-based work studies the growth and assembly of human mammary epithelial cell (HMEC) from breast cancer susceptible tissue. Radiation can make the cells cancerous, thus allowing better comparisons of healthy vs. tunorous tissue. Credit: Dr. Jearne Becker, University of South Florida
Microgravity
iss073e0252485 (June 28, 2025) --- Expedition 73 Flight Engineer Jonny Kim from NASA and Axiom Mission 4 Commander Peggy Whitson work together inside the International Space Station's Destiny laboratory module setting up research hardware to culture patient-derived cancer cells, model their growth in microgravity, and test a state-of-the-art fluorescence microscope. Results may lead to earlier cancer detection methods, development of advanced cancer treatments, and promote future stem cell research in space.
Expedition 73 Flight Engineer Jonny Kim and Axiom Mission 4 Commander Peggy Whitson
iss056e078401 (July 3, 2018) --- NASA astronaut Serena Auñón-Chancellor conducts research operations for the AngieX Cancer Therapy study inside the Microgravity Science Glovebox. The new cancer research seeks to test a safer, more effective treatment that targets tumor cells and blood vessels.
iss056e078401
iss056e078402 (July 3, 2018) --- Flight Engineer Serena Auñón-Chancellor conducts research operations for the AngieX Cancer Therapy study inside the Microgravity Science Glovebox. The new cancer research seeks to test a safer, more effective treatment that targets tumor cells and blood vessels.
iss056e078402
Isolation of human mammary epithelial cells (HMEC) from breast cancer susceptible tissue. Isolate of long-term growth human mammary epithelial cells (HMEC) from outgrowth of duct element; cells shown soon after isolation and early in culture in a dish. NASA's Marshall Space Flight Center (MSFC) is sponsoring research with Bioreactors, rotating wall vessels designed to grow tissue samples in space, to understand how breast cancer works. This ground-based work studies the growth and assembly of human mammary epithelial cell (HMEC) from breast cancer susceptible tissue. Radiation can make the cells cancerous, thus allowing better comparisons of healthy vs. tunorous tissue. Credit: Dr. Robert Tichmond, NASA/Marshall Space Flight Center (MSFC).
Microgravity
KENNEDY SPACE CENTER, FLA. -   Valerie Cassanto is one of the scientists recovering experiments found during the search for Columbia debris.  Included in the Commercial ITA Biomedical Experiments payload on mission STS-107 are urokinase cancer research, microencapsulation of drugs, the Growth of Bacterial Biofilm on Surfaces during Spaceflight (GOBBSS), and tin crystal formation.
KENNEDY SPACE CENTER, FLA. - Valerie Cassanto is one of the scientists recovering experiments found during the search for Columbia debris. Included in the Commercial ITA Biomedical Experiments payload on mission STS-107 are urokinase cancer research, microencapsulation of drugs, the Growth of Bacterial Biofilm on Surfaces during Spaceflight (GOBBSS), and tin crystal formation.
iss052e018939 (7/24/2017) --- NASA astronaut Peggy Whitson working with the Efficacy and Metabolism of Azonafide Antibody-Drug Conjugates in Microgravity (ADCs in Microgravity). The ADCs in Microgravity investigation evaluates new antibody-drug conjugates that combine an immune-activating drug with antibodies in order to target only cancer cells, increasing the effectiveness of chemotherapy and reducing its side effects. In microgravity, cancer cells grow in three-dimensional, spheroid structures that closely resemble their form in the human body, allowing for better drug testing. This investigation may accelerate development of targeted therapies for cancer patients.
ADCs in Microgravity (CASIS)
iss052e018944 (7/24/2017) --- NASA astronaut Peggy Whitson working with the Efficacy and Metabolism of Azonafide Antibody-Drug Conjugates in Microgravity (ADCs in Microgravity). The ADCs in Microgravity investigation evaluates new antibody-drug conjugates that combine an immune-activating drug with antibodies in order to target only cancer cells, increasing the effectiveness of chemotherapy and reducing its side effects. In microgravity, cancer cells grow in three-dimensional, spheroid structures that closely resemble their form in the human body, allowing for better drug testing. This investigation may accelerate development of targeted therapies for cancer patients.
ADCs in Microgravity (CASIS)
KENNEDY SPACE CENTER, FLA. -  A.K. Love,  with Instrumentation Technology Associates, Inc., displays one of the boxes used for cancer cell research, an experiment carried on mission STS-107.  Several experiments were found during the search for Columbia debris.  Included in the Commercial ITA Biomedical Experiments payload on mission STS-107 are urokinase cancer research, microencapsulation of drugs, the Growth of Bacterial Biofilm on Surfaces during Spaceflight (GOBBSS), and tin crystal formation.
KSC-03pd1458
iss057e114747 (12/9/2018) --- European Space Agency (ESA) astronaut Alex Gerst is photographed with the Perfect Crystals investigation. Perfect Crystals studies human manganese superoxide dismutase (MnSOD or SOD2) in order to analyze its shape. MnSOD is implicated in a number of human diseases, including non-Hodgkins lymphoma, lung cancer and colorectal cancer. Understanding how it works is an important step toward developing better prevention and treatment methods for such diseases.
iss057e114747
iss049e000758  (9/9/2016) ---  NASA Astronaut Kate Rubins, wearing the colorful "Courage" flight suit, is photographed in the Destiney laboratory abroad the International Space Station (ISS).  The suit was painted by children in the M. D. Anderson cancer ward  through the hospital’s Arts in Medicine Program, which helps pediatric patients cope with cancer treatment through art.
RubinsRubins wearing the "Courage" flight suit.
iss060e062282 (Sept. 13, 2019) --- Expedition 60 Flight Engineer Andrew Morgan of NASA conducts research for the Microgravity Crystals investigation that crystallizes a membrane protein that is integral to tumor growth and cancer survival. Results may support the development of cancer treatments that target the protein more effectively and with fewer side effects. Morgan is pictured setting up protein crystal samples for observing and photographing inside a microscope. The samples were then stowed inside a specialized incubator, also known as the Space Automated Bioproduct Laboratory.
iss060e062282
iss053e180226 (Nov. 12, 2017) --- The six-member Expedition 53 crew poses for a portrait inside the Japanese Kibo laboratory module with a spacesuit hand-painted by cancer patients from the M.D. Anderson Cancer Center in Houston. On the left (from top to bottom) are NASA astronauts Joe Acaba and Mark Vande Hei with cosmonaut Alexander Misurkin of Roscosmos. On the right (from top to bottom) are European Space Agency astronaut Paolo Nespoli, cosmonaut Sergey Ryazanskiy of Roscosmos and Expedition 53 Commander Randy Bresnik of NASA.
iss053e180226
International Space Station (ISS) National Laboratory Workshop L-R Lynn Harper, Ames and Baruch Blumberg, Nobel Laureate, Fox Chase Cancer Center during talk on Science on the international Space Station, Past and Future.
ARC-2007-ACD07-0189-018
iss056e131400 (7/31/2018) --- NASA astronaut Serena Auñón-Chancellor conducts research operations for the AngieX Cancer Therapy study inside the Microgravity Science Glovebox. The new cancer research seeks to test a safer, more effective treatment that targets tumor cells and blood vessels. In the background, NASA astronaut Drew Feustel can be seen working on the Microgravity Investigation of Cement Solidification (MICS) 2 experiment aboard the International Space Station. MICS 2 is researching how cement reacts in space during the hardening process and may help engineers better understand its microstructure and material properties.
iss056e131400
iss056e131403 (7/31/2018) --- NASA astronaut Serena Auñón-Chancellor conducts research operations for the AngieX Cancer Therapy study inside the Microgravity Science Glovebox. The new cancer research seeks to test a safer, more effective treatment that targets tumor cells and blood vessels. In the background, NASA astronaut Drew Feustel can be seen working on the Microgravity Investigation of Cement Solidification (MICS) 2 experiment aboard the International Space Station. MICS 2 is researching how cement reacts in space during the hardening process and may help engineers better understand its microstructure and material properties.
iss056e131403
KENNEDY SPACE CENTER, FLA. - Valerie Cassanto, with Instrumentation Technology Associates, Inc., examines closely the container containing one of the experiments carried on mission STS-107.  Several experiments were found during the search for Columbia debris.  Included in the Commercial ITA Biomedical Experiments payload on mission STS-107 are urokinase cancer research, microencapsulation of drugs, the Growth of Bacterial Biofilm on Surfaces during Spaceflight (GOBBSS), and tin crystal formation.
KENNEDY SPACE CENTER, FLA. - Valerie Cassanto, with Instrumentation Technology Associates, Inc., examines closely the container containing one of the experiments carried on mission STS-107. Several experiments were found during the search for Columbia debris. Included in the Commercial ITA Biomedical Experiments payload on mission STS-107 are urokinase cancer research, microencapsulation of drugs, the Growth of Bacterial Biofilm on Surfaces during Spaceflight (GOBBSS), and tin crystal formation.
KENNEDY SPACE CENTER, FLA. -  Valerie Cassanto, Instrumentation Technology Associates, Inc., studies one of the experiments carried on mission STS-107. Several experiments were found during the search for Columbia debris. Included in the Commercial ITA Biomedical Experiments payload on mission STS-107 are urokinase cancer research, microencapsulation of drugs, the Growth of Bacterial Biofilm on Surfaces during Spaceflight (GOBBSS), and tin crystal formation.  The latter was sponsored by the Pembroke Pines Charter Middle School.
KENNEDY SPACE CENTER, FLA. - Valerie Cassanto, Instrumentation Technology Associates, Inc., studies one of the experiments carried on mission STS-107. Several experiments were found during the search for Columbia debris. Included in the Commercial ITA Biomedical Experiments payload on mission STS-107 are urokinase cancer research, microencapsulation of drugs, the Growth of Bacterial Biofilm on Surfaces during Spaceflight (GOBBSS), and tin crystal formation. The latter was sponsored by the Pembroke Pines Charter Middle School.
KENNEDY SPACE CENTER, FLA. - Valerie Cassanto, with Instrumentation Technology Associates, Inc., and Bob McLean, from the Southwest Texas State University, transfer to a new container material from one of the experiments carried on mission STS-107.  Several experiments were found during the search for Columbia debris.  Included in the Commercial ITA Biomedical Experiments payload on mission STS-107 are urokinase cancer research, microencapsulation of drugs, the Growth of Bacterial Biofilm on Surfaces during Spaceflight (GOBBSS), and tin crystal formation.
KENNEDY SPACE CENTER, FLA. - Valerie Cassanto, with Instrumentation Technology Associates, Inc., and Bob McLean, from the Southwest Texas State University, transfer to a new container material from one of the experiments carried on mission STS-107. Several experiments were found during the search for Columbia debris. Included in the Commercial ITA Biomedical Experiments payload on mission STS-107 are urokinase cancer research, microencapsulation of drugs, the Growth of Bacterial Biofilm on Surfaces during Spaceflight (GOBBSS), and tin crystal formation.
KENNEDY SPACE CENTER, FLA. -  Valerie Cassanto, with Instrumentation Technology Associates, Inc., works on an experiment found during the search for Columbia debris.  Included in the Commercial ITA Biomedical Experiments payload on mission STS-107 are urokinase cancer research, microencapsulation of drugs, the Growth of Bacterial Biofilm on Surfaces during Spaceflight (GOBBSS), and tin crystal formation.
KENNEDY SPACE CENTER, FLA. - Valerie Cassanto, with Instrumentation Technology Associates, Inc., works on an experiment found during the search for Columbia debris. Included in the Commercial ITA Biomedical Experiments payload on mission STS-107 are urokinase cancer research, microencapsulation of drugs, the Growth of Bacterial Biofilm on Surfaces during Spaceflight (GOBBSS), and tin crystal formation.
KENNEDY SPACE CENTER, FLA. -  Dr. Dennis Morrison, NASA Johnson Space Center, works with one of the experiments carried on mission STS-107. Several experiments were found during the search for Columbia debris. Included in the Commercial ITA Biomedical Experiments payload on mission STS-107 are urokinase cancer research, microencapsulation of drugs, the Growth of Bacterial Biofilm on Surfaces during Spaceflight (GOBBSS), and tin crystal formation.
KENNEDY SPACE CENTER, FLA. - Dr. Dennis Morrison, NASA Johnson Space Center, works with one of the experiments carried on mission STS-107. Several experiments were found during the search for Columbia debris. Included in the Commercial ITA Biomedical Experiments payload on mission STS-107 are urokinase cancer research, microencapsulation of drugs, the Growth of Bacterial Biofilm on Surfaces during Spaceflight (GOBBSS), and tin crystal formation.
KENNEDY SPACE CENTER, FLA. - Valerie Cassanto, with Instrumentation Technology Associates, Inc., works on an experiment found during the search for Columbia debris.  Mike Casasanto, also with ITA, looks on.  Included in the Commercial ITA Biomedical Experiments payload on mission STS-107 are urokinase cancer research, microencapsulation of drugs, the Growth of Bacterial Biofilm on Surfaces during Spaceflight (GOBBSS), and tin crystal formation.
KENNEDY SPACE CENTER, FLA. - Valerie Cassanto, with Instrumentation Technology Associates, Inc., works on an experiment found during the search for Columbia debris. Mike Casasanto, also with ITA, looks on. Included in the Commercial ITA Biomedical Experiments payload on mission STS-107 are urokinase cancer research, microencapsulation of drugs, the Growth of Bacterial Biofilm on Surfaces during Spaceflight (GOBBSS), and tin crystal formation.
KENNEDY SPACE CENTER, FLA. -  Valerie Cassanto (foreground), Instrumentation Technology Associates, Inc., examines one of the experiments carried on mission STS-107. Several experiments were found during the search for Columbia debris. Included in the Commercial ITA Biomedical Experiments payload on mission STS-107 are urokinase cancer research, microencapsulation of drugs, the Growth of Bacterial Biofilm on Surfaces during Spaceflight (GOBBSS), and tin crystal formation.
KENNEDY SPACE CENTER, FLA. - Valerie Cassanto (foreground), Instrumentation Technology Associates, Inc., examines one of the experiments carried on mission STS-107. Several experiments were found during the search for Columbia debris. Included in the Commercial ITA Biomedical Experiments payload on mission STS-107 are urokinase cancer research, microencapsulation of drugs, the Growth of Bacterial Biofilm on Surfaces during Spaceflight (GOBBSS), and tin crystal formation.
KENNEDY SPACE CENTER, FLA. -  The crystals visible in this laboratory dish were part of an experiment carried on mission STS-107. Several experiments were found during the search for Columbia debris. Included in the Commercial ITA Biomedical Experiments payload on mission STS-107 are urokinase cancer research, microencapsulation of drugs, the Growth of Bacterial Biofilm on Surfaces during Spaceflight (GOBBSS), and tin crystal formation.
KENNEDY SPACE CENTER, FLA. - The crystals visible in this laboratory dish were part of an experiment carried on mission STS-107. Several experiments were found during the search for Columbia debris. Included in the Commercial ITA Biomedical Experiments payload on mission STS-107 are urokinase cancer research, microencapsulation of drugs, the Growth of Bacterial Biofilm on Surfaces during Spaceflight (GOBBSS), and tin crystal formation.
KENNEDY SPACE CENTER, FLA. -  Barry Perlman, Pembroke Pines Charter Middle School in Florida, prepares a computer to receive data from an experiment carried on mission STS-107. Several experiments were found during the search for Columbia debris. Included in the Commercial ITA Biomedical Experiments payload on mission STS-107 are urokinase cancer research, microencapsulation of drugs, the Growth of Bacterial Biofilm on Surfaces during Spaceflight (GOBBSS), and tin crystal formation. The latter was sponsored by the Pembroke Pines Charter Middle School.
KENNEDY SPACE CENTER, FLA. - Barry Perlman, Pembroke Pines Charter Middle School in Florida, prepares a computer to receive data from an experiment carried on mission STS-107. Several experiments were found during the search for Columbia debris. Included in the Commercial ITA Biomedical Experiments payload on mission STS-107 are urokinase cancer research, microencapsulation of drugs, the Growth of Bacterial Biofilm on Surfaces during Spaceflight (GOBBSS), and tin crystal formation. The latter was sponsored by the Pembroke Pines Charter Middle School.
KENNEDY SPACE CENTER, FLA. -  From left, Bob McLean, Southwest Texas State University; Valerie Cassanto, Instrumentation Technology Associates, Inc.; and Dennis Morrison, NASA Johnson Space Center, process one of the experiments carried on mission STS-107. Several experiments were found during the search for Columbia debris. Included in the Commercial ITA Biomedical Experiments payload on mission STS-107 are urokinase cancer research, microencapsulation of drugs, the Growth of Bacterial Biofilm on Surfaces during Spaceflight (GOBBSS), and tin crystal formation.
KENNEDY SPACE CENTER, FLA. - From left, Bob McLean, Southwest Texas State University; Valerie Cassanto, Instrumentation Technology Associates, Inc.; and Dennis Morrison, NASA Johnson Space Center, process one of the experiments carried on mission STS-107. Several experiments were found during the search for Columbia debris. Included in the Commercial ITA Biomedical Experiments payload on mission STS-107 are urokinase cancer research, microencapsulation of drugs, the Growth of Bacterial Biofilm on Surfaces during Spaceflight (GOBBSS), and tin crystal formation.
KENNEDY SPACE CENTER, FLA. -  From left, Valerie Cassanto, Instrumentation Technology Associates, Inc., and Dr. Dennis Morrison, NASA Johnson Space Center, analyze one of the experiments carried on mission STS-107. Several experiments were found during the search for Columbia debris. Included in the Commercial ITA Biomedical Experiments payload on mission STS-107 are urokinase cancer research, microencapsulation of drugs, the Growth of Bacterial Biofilm on Surfaces during Spaceflight (GOBBSS), and tin crystal formation.
KENNEDY SPACE CENTER, FLA. - From left, Valerie Cassanto, Instrumentation Technology Associates, Inc., and Dr. Dennis Morrison, NASA Johnson Space Center, analyze one of the experiments carried on mission STS-107. Several experiments were found during the search for Columbia debris. Included in the Commercial ITA Biomedical Experiments payload on mission STS-107 are urokinase cancer research, microencapsulation of drugs, the Growth of Bacterial Biofilm on Surfaces during Spaceflight (GOBBSS), and tin crystal formation.
KENNEDY SPACE CENTER, FLA. -  Dr. Dennis Morrison, NASA Johnson Space Center, processes one of the experiments carried on mission STS-107. Several experiments were found during the search for Columbia debris. Included in the Commercial ITA Biomedical Experiments payload on mission STS-107 are urokinase cancer research, microencapsulation of drugs, the Growth of Bacterial Biofilm on Surfaces during Spaceflight (GOBBSS), and tin crystal formation.
KENNEDY SPACE CENTER, FLA. - Dr. Dennis Morrison, NASA Johnson Space Center, processes one of the experiments carried on mission STS-107. Several experiments were found during the search for Columbia debris. Included in the Commercial ITA Biomedical Experiments payload on mission STS-107 are urokinase cancer research, microencapsulation of drugs, the Growth of Bacterial Biofilm on Surfaces during Spaceflight (GOBBSS), and tin crystal formation.
KENNEDY SPACE CENTER, FLA. - Valerie Cassanto, with Instrumentation Technology Associates, Inc., and Bob McLean, from the Southwest Texas State University, work on an experiment found during the search for Columbia debris.  Included in the Commercial ITA Biomedical Experiments payload on mission STS-107 are urokinase cancer research, microencapsulation of drugs, the Growth of Bacterial Biofilm on Surfaces during Spaceflight (GOBBSS), and tin crystal formation.
KENNEDY SPACE CENTER, FLA. - Valerie Cassanto, with Instrumentation Technology Associates, Inc., and Bob McLean, from the Southwest Texas State University, work on an experiment found during the search for Columbia debris. Included in the Commercial ITA Biomedical Experiments payload on mission STS-107 are urokinase cancer research, microencapsulation of drugs, the Growth of Bacterial Biofilm on Surfaces during Spaceflight (GOBBSS), and tin crystal formation.
KENNEDY SPACE CENTER, FLA. -  From left, Bob McLean, Southwest Texas State University, and Valerie Cassanto, Instrumentation Technology Associates, Inc., study one of the experiments carried on mission STS-107. Several experiments were found during the search for Columbia debris. Included in the Commercial ITA Biomedical Experiments payload on mission STS-107 are urokinase cancer research, microencapsulation of drugs, the Growth of Bacterial Biofilm on Surfaces during Spaceflight (GOBBSS), and tin crystal formation.
KENNEDY SPACE CENTER, FLA. - From left, Bob McLean, Southwest Texas State University, and Valerie Cassanto, Instrumentation Technology Associates, Inc., study one of the experiments carried on mission STS-107. Several experiments were found during the search for Columbia debris. Included in the Commercial ITA Biomedical Experiments payload on mission STS-107 are urokinase cancer research, microencapsulation of drugs, the Growth of Bacterial Biofilm on Surfaces during Spaceflight (GOBBSS), and tin crystal formation.
Diagram depicts the importance of cell-cell communication as central to the understanding of cancer growth and progression, the focus of the NASA bioreactor demonstration system (BDS-05) investigation. Microgravity studies will allow us to unravel the signaling and communication between these cells with the host and potential development of therapies for the treatment of cancer metastasis. The NASA Bioreactor provides a low turbulence culture environment which promotes the formation of large, three-dimensional cell clusters. Due to their high level of cellular organization and specialization, samples constructed in the bioreactor more closely resemble the original tumor or tissue found in the body. The Bioreactor is rotated to provide gentle mixing of fresh and spent nutrient without inducing shear forces that would damage the cells. The work is sponsored by NASA's Office of Biological and Physical Research. The bioreactor is managed by the Biotechnology Cell Science Program at NASA's Johnson Space Center (JSC). NASA-sponsored bioreactor research has been instrumental in helping scientists to better understand normal and cancerous tissue development. In cooperation with the medical community, the bioreactor design is being used to prepare better models of human colon, prostate, breast and ovarian tumors. Cartilage, bone marrow, heart muscle, skeletal muscle, pancreatic islet cells, liver and kidney are just a few of the normal tissues being cultured in rotating bioreactors by investigators. Credit: Emory University.
Biotechnology
iss070e127437 (March 21, 2024) --- The Sun's glint beaming off the South Pacific Ocean near the coast of Chile just after an orbital sunrise and a slight airglow crowning Earth's horizon are photographed from the International Space Station.  At top, are star fields including a cluster of stars in the constellation of Cancer and a portion of the Lynx constellation.
iss070e127437
S135-E-006400 (9 July 2011) --- A window on space shuttle Atlantis' aft flight deck frames this scene featuring the Atlantic Ocean/Tropic of Cancer area south of Florida, including some of the 2700 islands that constitute the Bahamas. Photo credit: NASA
Earth Observations taken by the STS-135 Crew
iss072e011142 (12/2/2024) --- NASA astronaut Suni Williams works on StemCellEX-H1, a technology for in-space production of human stem cells that are used as therapies for certain blood diseases and cancers. It may be possible to produce the cells in greater numbers and at higher quality in microgravity than currently is possible on the ground.
LSG Work Volume Cleanup
jsc2023e065212 (2/1/2023) --- Student researchers Daniel Roth and Jason Gomes work on their experiment, The Effect(s) of Microgravity on the Dormant State of Cancer Cells, which will be included in the Nanoracks-National Center for Earth and Space Science Education-Orbiter-Student Spaceflight Experiments Program Mission 17 to ISS (Nanoracks-NCESSE-Orbiter-SSEP).
Nanoracks-NCESSE-Orbiter-SSEP Preflight Imagery
iss069e055093 (Aug. 8, 2023) --- NASA astronaut and Expedition 69 Flight Engineer Frank Rubio works in the Kibo laboratory module's Life Sciences Glovebox servicing stem cell samples for the StemCellEX-H Pathfinder study. The biotechnology investigation seeks to improve therapies for blood diseases and cancers such as leukemia.
iss069e055093
iss072e010035 (Oct. 12, 2024) --- NASA astronaut and Expedition 72 Flight Engineer Don Pettit displays Genes In Space-11 samples validating on-orbit Nucleic Acid Sequenced Based Amplification (NASBA), a novel technique to detect specific RNA sequences that can be applied to studying crucial biological processes, such as viral infection, genomic damage, or gene expression during spaceflight.  Genes in Space-11 studies how spaceflight may activate retrotransposons, which are DNA fragments that copy and paste themselves throughout a genome, leading to cancer and other diseases. This investigation tests methods for detecting and measuring retrotransposons that may be adapted to detect other RNAs, including those of viruses that cause illness. Understanding the behavior of retrotransposons in microgravity may shed light on the genetic risks, including cancer, from space travel and support development of ways to protect astronauts during missions.
Astronaut Don Pettit displays samples for a genetic experiment aboard the International Space Station
KENNEDY SPACE CENTER, FLA. -  Barry Perlman, Pembroke Pines Charter Middle School in Florida, examines one of the experiments carried on mission STS-107 as Bob McLean, Southwest Texas State University, looks on. Several experiments were found during the search for Columbia debris. Included in the Commercial ITA Biomedical Experiments payload on mission STS-107 are urokinase cancer research, microencapsulation of drugs, the Growth of Bacterial Biofilm on Surfaces during Spaceflight (GOBBSS), and tin crystal formation.  The latter was sponsored by the Pembroke Pines Charter Middle School.
KENNEDY SPACE CENTER, FLA. - Barry Perlman, Pembroke Pines Charter Middle School in Florida, examines one of the experiments carried on mission STS-107 as Bob McLean, Southwest Texas State University, looks on. Several experiments were found during the search for Columbia debris. Included in the Commercial ITA Biomedical Experiments payload on mission STS-107 are urokinase cancer research, microencapsulation of drugs, the Growth of Bacterial Biofilm on Surfaces during Spaceflight (GOBBSS), and tin crystal formation. The latter was sponsored by the Pembroke Pines Charter Middle School.
KENNEDY SPACE CENTER, FLA. -  From left, Barry Perlman, Pembroke Pines Charter Middle School in Florida, and Valerie Cassanto, Instrumentation Technology Associates, Inc., process one of the experiments carried on mission STS-107. Several experiments were found during the search for Columbia debris. Included in the Commercial ITA Biomedical Experiments payload on mission STS-107 are urokinase cancer research, microencapsulation of drugs, the Growth of Bacterial Biofilm on Surfaces during Spaceflight (GOBBSS), and tin crystal formation.  The latter was sponsored by the Pembroke Pines Charter Middle School.
KENNEDY SPACE CENTER, FLA. - From left, Barry Perlman, Pembroke Pines Charter Middle School in Florida, and Valerie Cassanto, Instrumentation Technology Associates, Inc., process one of the experiments carried on mission STS-107. Several experiments were found during the search for Columbia debris. Included in the Commercial ITA Biomedical Experiments payload on mission STS-107 are urokinase cancer research, microencapsulation of drugs, the Growth of Bacterial Biofilm on Surfaces during Spaceflight (GOBBSS), and tin crystal formation. The latter was sponsored by the Pembroke Pines Charter Middle School.
KENNEDY SPACE CENTER, FLA. -  From left, Barry Perlman, Pembroke Pines Charter Middle School in Florida; Valerie Cassanto, Instrumentation Technology Associates, Inc.; and Dr. Dennis Morrison, NASA Johnson Space Center, process one of the experiments carried on mission STS-107. Several experiments were found during the search for Columbia debris. Included in the Commercial ITA Biomedical Experiments payload on mission STS-107 are urokinase cancer research, microencapsulation of drugs, the Growth of Bacterial Biofilm on Surfaces during Spaceflight (GOBBSS), and tin crystal formation.  The latter was sponsored by the Pembroke Pines Charter Middle School.
KENNEDY SPACE CENTER, FLA. - From left, Barry Perlman, Pembroke Pines Charter Middle School in Florida; Valerie Cassanto, Instrumentation Technology Associates, Inc.; and Dr. Dennis Morrison, NASA Johnson Space Center, process one of the experiments carried on mission STS-107. Several experiments were found during the search for Columbia debris. Included in the Commercial ITA Biomedical Experiments payload on mission STS-107 are urokinase cancer research, microencapsulation of drugs, the Growth of Bacterial Biofilm on Surfaces during Spaceflight (GOBBSS), and tin crystal formation. The latter was sponsored by the Pembroke Pines Charter Middle School.
KENNEDY SPACE CENTER, FLA. -  From left, Barry Perlman, Pembroke Pines Charter Middle School in Florida, and Valerie Cassanto, Instrumentation Technology Associates, Inc., process one of the experiments carried on mission STS-107. Several experiments were found during the search for Columbia debris. Included in the Commercial ITA Biomedical Experiments payload on mission STS-107 are urokinase cancer research, microencapsulation of drugs, the Growth of Bacterial Biofilm on Surfaces during Spaceflight (GOBBSS), and tin crystal formation.  The latter was sponsored by the Pembroke Pines Charter Middle School.
KENNEDY SPACE CENTER, FLA. - From left, Barry Perlman, Pembroke Pines Charter Middle School in Florida, and Valerie Cassanto, Instrumentation Technology Associates, Inc., process one of the experiments carried on mission STS-107. Several experiments were found during the search for Columbia debris. Included in the Commercial ITA Biomedical Experiments payload on mission STS-107 are urokinase cancer research, microencapsulation of drugs, the Growth of Bacterial Biofilm on Surfaces during Spaceflight (GOBBSS), and tin crystal formation. The latter was sponsored by the Pembroke Pines Charter Middle School.
KENNEDY SPACE CENTER, FLA. -  From left, Barry Perlman, Pembroke Pines Charter Middle School in Florida, and Valerie Cassanto, Instrumentation Technology Associates, Inc., analyze one of the experiments carried on mission STS-107. Several experiments were found during the search for Columbia debris. Included in the Commercial ITA Biomedical Experiments payload on mission STS-107 are urokinase cancer research, microencapsulation of drugs, the Growth of Bacterial Biofilm on Surfaces during Spaceflight (GOBBSS), and tin crystal formation.  The latter was sponsored by the Pembroke Pines Charter Middle School.
KENNEDY SPACE CENTER, FLA. - From left, Barry Perlman, Pembroke Pines Charter Middle School in Florida, and Valerie Cassanto, Instrumentation Technology Associates, Inc., analyze one of the experiments carried on mission STS-107. Several experiments were found during the search for Columbia debris. Included in the Commercial ITA Biomedical Experiments payload on mission STS-107 are urokinase cancer research, microencapsulation of drugs, the Growth of Bacterial Biofilm on Surfaces during Spaceflight (GOBBSS), and tin crystal formation. The latter was sponsored by the Pembroke Pines Charter Middle School.
iss064e011646 (Dec. 10, 2020) --- NASA astronaut and Expedition 64 Flight Engineer Victor Glover reviews procedures on a computer for the Monoclonal Antibodies Protein Crystal Growth (PCG) experiment inside the Harmony module. The biomedical study crystallizes therapeutic monoclonal antibodies of higher quality than Earth and could accelerate the development of advanced therapies that target cancer cells.
iss064e011646
iss057e114766 (12/9/2018) --- European Space Agency (ESA) astronaut Alex Gerst is photographed with the Crystallization of RAS in Space (CASIS PCG 17) investigation. CASIS PCG 17grows crystals of KRAS proteins, which have a pivotal role in cell growth and death. Mutations in KRAS proteins are responsible for a third of all cancers and identifying the structure of these proteins is critical to developing therapeutics and treatments. Protein crystals grow larger and more perfectly in microgravity, allowing for detailed laboratory analysis of their structure back on Earth.
iss057e114766
CAPE CANAVERAL, Fla. – A Kennedy Space Center worker talks with Rikki Eloian, of Juice Plus, hidden behind the plant, during the National Employee Health and Fitness Day event in the Operations and Checkout Building's Mission Briefing Room. Other vendors represented at the event included the American Cancer Society, Running Zone and Parrish Medical Center Diabetes Program. Photo credit: NASA/Daniel Casper
KSC-2013-3101
George D'Heilly and John Cassanto, scientists with Instrumentation Technology Associates, Inc., display for the media part of the apparatus recovered during the search for Columbia debris. It was part of the Commercial ITA Biomedical Experiments payload on mission STS-107 that included the Growth of Bacterial Biofilm on Surfaces during Spaceflight (GOBBSS) experiment and crystals grown for cancer research. The GOBBSS experiment was sponsored by the Planetary Society, with joint participation of an Israeli and a Palestinian student, and developed by the Israeli Aerospace Medical Institute and JSC Astrobiology Center.
Columbia Debris
Bear Ride, the sister of pioneering astronaut Sally Ride, speaks during “The Legacy of Sally Ride: The First American Woman in Space” event at Kennedy Space Center in Florida on June 15, 2023. Forty years ago, Ride made her trailblazing flight into space. A hero to millions, Ride was a steadfast advocate for inclusion in STEM (science, technology, engineering, mathematics) – especially for girls and young women – until her death in 2012 from pancreatic cancer.
Sally Ride Panel Discussion
NASA Chief Historian Brian Odom moderates “The Legacy of Sally Ride: The First American Woman in Space” event at Kennedy Space Center in Florida on June 15, 2023. Forty years ago, Ride made her trailblazing flight into space. A hero to millions, Ride was a steadfast advocate for inclusion in STEM (science, technology, engineering, mathematics) – especially for girls and young women – until her death in 2012 from pancreatic cancer. Appearing on the monitor in the background is Sally Ride’s life partner of 27 years, Tam O’Shaughnessy.
Sally Ride Panel Discussion
(PCG) Protein Crystal Growth Gamma-Interferon. Stimulates the body's immune system and is used clinically in the treatment of cancer. Potential as an anti-tumor agent against solid tumors as well as leukemia's and lymphomas. It has additional utility as an anti-ineffective agent, including antiviral, anti-bacterial, and anti-parasitic activities. Principal Investigator on STS-26 was Charles Bugg.
Microgravity
Kennedy Space Center employees attend “The Legacy of Sally Ride: The First American Woman in Space” event at Kennedy Space Center in Florida on June 15, 2023. Forty years ago, Ride made her trailblazing flight into space. A hero to millions, Ride was a steadfast advocate for inclusion in STEM (science, technology, engineering, mathematics) – especially for girls and young women – until her death in 2012 from pancreatic cancer.
Sally Ride Panel Discussion
ISS011-E-12415 (31 August 2005) --- Aurora Borealis and lights in Finland, Russia, Estonia and Latvia are featured in this digital still picture taken by the Expedition 11 crew aboard the international space station. If it were daylight parts of the Eastern Baltic Sea would be visible. The station was over a point on Earth located at 50.6 degrees north latitude and 15.1 degees east longitude at the time. The cluster of stars to the lower right of the thin crescent Moon is the Praesepe or Beehive Cluster in Cancer. Just to the right of that is the planet Saturn.
Earth observation taken by the Expedition 11 crew
iss057e114765 (12/9/2018) --- European Space Agency (ESA) astronaut Alex Gerst is photographed with the Crystallization of RAS in Space (CASIS PCG 17) investigation. CASIS PCG 17grows crystals of KRAS proteins, which have a pivotal role in cell growth and death. Mutations in KRAS proteins are responsible for a third of all cancers and identifying the structure of these proteins is critical to developing therapeutics and treatments. Protein crystals grow larger and more perfectly in microgravity, allowing for detailed laboratory analysis of their structure back on Earth.
iss057e114765
Jennifer Kunz, associate director, technical, at NASA’s Kennedy Space Center, addresses the audience at “The Legacy of Sally Ride: The First American Woman in Space” event at the Florida spaceport on June 15, 2023. Forty years ago, Ride made her trailblazing flight into space. A hero to millions, Ride was a steadfast advocate for inclusion in STEM (science, technology, engineering, mathematics) – especially for girls and young women – until her death in 2012 from pancreatic cancer.
Sally Ride Panel Discussion
KENNEDY SPACE CENTER, FLA. - Valerie Cassanto and Bob McLean talk to a reporter about experiments found during the search for Columbia debris.  Cassanto is with Instrumentation Technology Associates Inc. and McLean is with the Southwest Texas State University. Included in the Commercial ITA Biomedical Experiments payload on mission STS-107 are urokinase cancer research, microencapsulation of drugs, the Growth of Bacterial Biofilm on Surfaces during Spaceflight (GOBBSS), and tin crystal formation.
KSC-03pd1452
iss070e086351 (Feb. 3, 2024) --- JAXA (Japan Aerospace Exploration Agency) astronaut and Expedition 70 Flight Engineer Satoshi Furukawa processes cell samples inside a Kubik incubator for the Immune Cell Activation biotechnology experiment. The study is investigating ways to develop novel therapeutic tools to target central nervous system diseases and cutaneous cancers such as melanoma.
iss070e086351
Purine Nucleoside Phosphorylase (PNP) is an important target enzyme for the design of anti-cancer and immunosuppressive drugs. Bacterial PNP, which is slightly different from the human enzyme, is used to synthesize chemotherapuautic agents. Knowledge of the three-dimensional structure of the bacterial PNP molecule is useful in efforts to engineer different types of PNP enzymes, that can be used to produce new chemotherapeutic agents. This picture shows a computer model of bacterial PNP, which looks a lot like a display of colorful ribbons. Principal Investigator was Charles Bugg.
Microgravity
This prostate cancer construct was grown during NASA-sponsored bioreactor studies on Earth. Cells are attached to a biodegradable plastic lattice that gives them a head start in growth. Prostate tumor cells are to be grown in a NASA-sponsored Bioreactor experiment aboard the STS-107 Research-1 mission in 2002. Dr. Leland Chung of the University of Virginia is the principal investigator. The NASA Bioreactor provides a low turbulence culture environment which promotes the formation of large, three-dimensional cell clusters. Due to their high level of cellular organization and specialization, samples constructed in the bioreactor more closely resemble the original tumor or tissue found in the body. The Bioreactor is rotated to provide gentle mixing of fresh and spent nutrient without inducing shear forces that would damage the cells. The work is sponsored by NASA's Office of Biological and Physical Research. The bioreactor is managed by the Biotechnology Cell Science Program at NASA's Johnson Space Center (JSC). NASA-sponsored bioreactor research has been instrumental in helping scientists to better understand normal and cancerous tissue development. In cooperation with the medical community, the bioreactor design is being used to prepare better models of human colon, prostate, breast and ovarian tumors. Cartilage, bone marrow, heart muscle, skeletal muscle, pancreatic islet cells, liver and kidney are just a few of the normal tissues being cultured in rotating bioreactors by investigators. Credit: NASA and the University of Virginia.
Biotechnology
iss073e0134929 (6/9/2025) ---NASA astronaut Nichole Ayers sets up the station’s Ring Sheared Drop module. This system makes it possible to study liquid protein solutions without using containers, eliminating interactions between the solutions and container walls that can affect results. Ring Sheared Drop-IBP-2 studies the behavior of protein fluids in microgravity and tests computer models to predict that fluid’s behavior. Better models could help could advance manufacturing processes in space and on Earth for producing next-generation medicines for treating cancers and other diseases.NASA astronaut Nichole Ayers sets up the station’s Ring Sheared Drop module. This system makes it possible to study liquid protein solutions without using containers, eliminating interactions between the solutions and container walls that can affect results. Ring Sheared Drop-IBP-2 studies the behavior of protein fluids in microgravity and tests computer models to predict that fluid’s behavior. Better models could help could advance manufacturing processes in space and on Earth for producing next-generation medicines for treating cancers and other diseases.
iss073e0134929
Leland W. K. Chung (left), Director, Molecular Urology Therapeutics Program at the Winship Cancer Institute at Emory University, is principal investigator for the NASA bioreactor demonstration system (BDS-05). With him is Dr. Jun Shu, an assistant professor of Orthopedics Surgery from Kuming Medical University China. The NASA Bioreactor provides a low turbulence culture environment which promotes the formation of large, three-dimensional cell clusters. Due to their high level of cellular organization and specialization, samples constructed in the bioreactor more closely resemble the original tumor or tissue found in the body. The Bioreactor is rotated to provide gentle mixing of fresh and spent nutrient without inducing shear forces that would damage the cells. The work is sponsored by NASA's Office of Biological and Physical Research. The bioreactor is managed by the Biotechnology Cell Science Program at NASA's Johnson Space Center (JSC). NASA-sponsored bioreactor research has been instrumental in helping scientists to better understand normal and cancerous tissue development. In cooperation with the medical community, the bioreactor design is being used to prepare better models of human colon, prostate, breast and ovarian tumors. Cartilage, bone marrow, heart muscle, skeletal muscle, pancreatic islet cells, liver and kidney are just a few of the normal tissues being cultured in rotating bioreactors by investigators. Credit: Emory University.
Biotechnology
KENNEDY SPACE CENTER, FLA. -  John Cassanto (center), with Instrumentation Technology Associates, Inc., explains the use of the apparatus used for experiments on mission STS-107.   At left is Barry Perlman, with Pembroke Pines Middle School in Florida; at right is Lou Friedman, executive director of the Planetary Society. The box was part of the  Commercial ITA Biomedical Experiments payload on mission STS-107 that included the Growth of Bacterial Biofilm on Surfaces during Spaceflight (GOBBSS) experiment and crystals grown for cancer research.  The GOBBSS experiment was sponsored by the Planetary Society, with joint participation of an Israeli and a Palestinian student, and developed by the Israeli Aerospace Medical Institute and JSC Astrobiology Center.
KSC-03pd1440