
During MIT's "Better MIT Innovation Week 2018," a group of experts discussed innovation as a critical component to and professional accomplishment. From left: Rebecca Chui, founder, RootsStudio; Reinaldo Normand, entrepreneur in residence, MIT; Douglas Terrier, NASA chief technologist; Linda Foster, chief technologist, Lockheed Martin. (Photo: Damian Barabonkov/MIT Technique)

NASA Chief Technologist Douglas Terrier joined students, faculty and experts in Boston as part of MIT's "Better MIT Innovation Week 2018," a week-long program promoting leadership, entrepreneurship and action for a better future. During the February event, Terrier spoke about a culture of innovation at America's Space Program. (Photo: Damian Barabonkov/MIT Technique)

S82-41554 (1982) --- Dr. Byron K. Lichtenberg, payload specialist, Massachusetts Institute of Technology (MIT).

S92-49243 (November 1992) --- Astronaut Laurence Young, Sc. D., Massachusetts Institute of Technology, payload specialist

NASA and science investigators from MIT participate in a science briefing for the agency's Transiting Exoplanet Survey Satellite (TESS) in the Press Site auditorium at Kennedy Space Center in Florida. From left are moderator Claire Saravia, NASA Communications; Paul Hertz, Astrophysics Division director, NASA Headquarters; George Ricker, TESS principal investigator, Massachusetts Institute of Technology; Padi Boyd, TESS Guest Investigator Program lead, NASA’s Goddard Space Flight Center; Stephen Rinehart, TESS Project scientist, NASA’s Goddard Space Flight Center; and Diana Dragomir, NASA Hubble Postdoctoral Fellow, Massachusetts Institute of Technology. TESS is the next step in the search for planets outside of our solar system. The mission will find exoplanets that periodically block part of the light from their host stars, events called transits. The satellite will survey the nearest and brightest stars for two years to search for transiting exoplanets. TESS will launch on a SpaceX Falcon 9 rocket from Space Launch Complex 40 at Cape Canaveral Air Force Station no earlier than 6:32 p.m. EDT on Monday, April 16.

NASA and science investigators from MIT participate in a science briefing for the agency's Transiting Exoplanet Survey Satellite (TESS) in the Press Site auditorium at Kennedy Space Center in Florida. From left are moderator Claire Saravia, NASA Communications; Paul Hertz, Astrophysics Division director, NASA Headquarters; George Ricker, TESS principal investigator, Massachusetts Institute of Technology; Padi Boyd, TESS Guest Investigator Program lead, NASA’s Goddard Space Flight Center; Stephen Rinehart, TESS Project scientist, NASA’s Goddard Space Flight Center; and Diana Dragomir, NASA Hubble Postdoctoral Fellow, Massachusetts Institute of Technology. TESS is the next step in the search for planets outside of our solar system. The mission will find exoplanets that periodically block part of the light from their host stars, events called transits. The satellite will survey the nearest and brightest stars for two years to search for transiting exoplanets. TESS will launch on a SpaceX Falcon 9 rocket from Space Launch Complex 40 at Cape Canaveral Air Force Station no earlier than 6:32 p.m. EDT on Monday, April 16.

August Witt, Massachusetts Institute of Technology, principal investigator for the research program designed to lead to the identification and control of gravitational effects which adversely impact, through their interference with the growth process, the achievement of critical application specific properties in opto-electronic materials.

CAPE CANAVERAL, Fla. -- In the Press Site auditorium at NASA's Kennedy Space Center in Florida, media were briefed about NASA's future science missions. Seen here are NASA Public Affairs Officer George Diller (left); Waleed Abdalati, NASA chief scientist; Amanda Mitskevich, NASA Launch Services Program manager; Scott Bolton, Juno principal investigator with the Southwest Research Institute, San Antonio; Maria Zuber, GRAIL principal investigator with the Massachusetts Institute of Technology; John Grotzinger, Mars Science Lab project scientist with the California Institute of Technology and Daniel Stern, NuStar project scientist with NASA's Jet Propulsion Laboratory in Calif. Photo credit: NASA/Jack Pfaller

NASA and industry leaders speak to NASA Social participants about the agency's Transiting Exoplanet Survey Satellite (TESS) in the Press Site auditorium at Kennedy Space Center in Florida. Speaking to the group from center are Natalia Guerrero, TESS researcher, Massachusetts Institute of Technology, and Robert Lockwood, TESS Spacecraft Program Manager, Orbital ATK. At far left is Jason Townsend, NASA Communications. TESS is the next step in the search for planets outside of our solar system. The mission will find exoplanets that periodically block part of the light from their host stars, events called transits. The satellite will survey the nearest and brightest stars for two years to search for transiting exoplanets. TESS will launch on a SpaceX Falcon 9 rocket from Space Launch Complex 40 at Cape Canaveral Air Force Station no earlier than 6:32 p.m. EDT on Monday, April 16.

NASA and industry leaders speak to NASA Social participants about the agency's Transiting Exoplanet Survey Satellite (TESS) in the Press Site auditorium at Kennedy Space Center in Florida. Speaking to the group, from left are Tom Barclay, TESS scientist, NASA’s Goddard Space Flight Center, and Jenn Burt, Torres Postdoctoral Fellow, Massachusetts Institute of Technology. TESS is the next step in the search for planets outside of our solar system. The mission will find exoplanets that periodically block part of the light from their host stars, events called transits. The satellite will survey the nearest and brightest stars for two years to search for transiting exoplanets. TESS will launch on a SpaceX Falcon 9 rocket from Space Launch Complex 40 at Cape Canaveral Air Force Station no earlier than 6:32 p.m. EDT on Monday, April 16.

NASA and industry leaders speak to NASA Social participants about the agency's Transiting Exoplanet Survey Satellite (TESS) in the Press Site auditorium at Kennedy Space Center in Florida. Speaking to the group from left are Tom Barclay, TESS scientist, NASA’s Goddard Space Flight Center, and Jenn Burt, Torres Postdoctoral Fellow, Massachusetts Institute of Technology. TESS is the next step in the search for planets outside of our solar system. The mission will find exoplanets that periodically block part of the light from their host stars, events called transits. The satellite will survey the nearest and brightest stars for two years to search for transiting exoplanets. TESS will launch on a SpaceX Falcon 9 rocket from Space Launch Complex 40 at Cape Canaveral Air Force Station no earlier than 6:32 p.m. EDT on Monday, April 16.

NASA and industry leaders speak to NASA Social participants about the agency's Transiting Exoplanet Survey Satellite (TESS) in the Press Site auditorium at Kennedy Space Center in Florida. Speaking to the group, from left are Natalia Guerrero, TESS researcher, Massachusetts Institute of Technology, and Robert Lockwood, TESS Spacecraft Program Manager, Orbital ATK. TESS is the next step in the search for planets outside of our solar system. The mission will find exoplanets that periodically block part of the light from their host stars, events called transits. The satellite will survey the nearest and brightest stars for two years to search for transiting exoplanets. TESS will launch on a SpaceX Falcon 9 rocket from Space Launch Complex 40 at Cape Canaveral Air Force Station no earlier than 6:32 p.m. EDT on Monday, April 16.

NASA and science investigators from MIT participate in a science briefing for the agency's Transiting Exoplanet Survey Satellite (TESS) in the Press Site auditorium at Kennedy Space Center in Florida. Diana Dragomir, NASA Hubble Postdoctoral Fellow, Massachusetts Institute of Technology, answered questions during the briefing. TESS is the next step in the search for planets outside of our solar system. The mission will find exoplanets that periodically block part of the light from their host stars, events called transits. The satellite will survey the nearest and brightest stars for two years to search for transiting exoplanets. TESS will launch on a SpaceX Falcon 9 rocket from Space Launch Complex 40 at Cape Canaveral Air Force Station no earlier than 6:32 p.m. EDT on Monday, April 16.

NASA and science investigators from MIT participate in a science briefing for the agency's Transiting Exoplanet Survey Satellite (TESS) in the Press Site auditorium at Kennedy Space Center in Florida. George Ricker, TESS principal investigator, Massachusetts Institute of Technology, answered questions during the briefing. TESS is the next step in the search for planets outside of our solar system. The mission will find exoplanets that periodically block part of the light from their host stars, events called transits. The satellite will survey the nearest and brightest stars for two years to search for transiting exoplanets. TESS will launch on a SpaceX Falcon 9 rocket from Space Launch Complex 40 at Cape Canaveral Air Force Station no earlier than 6:32 p.m. EDT on Monday, April 16.

NASA and industry leaders speak to NASA Social participants about the agency's Transiting Exoplanet Survey Satellite (TESS) in the Press Site auditorium at Kennedy Space Center in Florida. Speaking to the group is Natalia Guerrero, TESS researcher, Massachusetts Institute of Technology. TESS is the next step in the search for planets outside of our solar system. The mission will find exoplanets that periodically block part of the light from their host stars, events called transits. The satellite will survey the nearest and brightest stars for two years to search for transiting exoplanets. TESS will launch on a SpaceX Falcon 9 rocket from Space Launch Complex 40 at Cape Canaveral Air Force Station no earlier than 6:32 p.m. EDT on Monday, April 16.

Jon Morse, Astrophysics Division Director, NASA Headquarters, left, is seen Thursday, Aug. 6, 2009 at a press conference at NASA Headquarters in Washington where he along with William Bo-Ricki, principal investigator, Sara Seager, professor of Planetary Science at the Massachusetts Institute of Technology and Alan Boss, an astrophysicist at the Carnegie Institution at the Department of Terrestrial Magnetism, far right, discussed the scientific observations coming from the Kepler spacecraft that was launched this past March. Kepler is NASA's first mission that is capable of discovering earth-sized planets in the habitable zones of stars like our Sun. Photo Credit: (NASA/Paul E. Alers)

Sara Seager, a MacArthur Fellow and Professor of Planetary Science and Physics at the Massachusetts Institute of Technology, speaks during a panel discussion on the search for life beyond Earth in the James E. Webb Auditorium at NASA Headquarters on Monday, July 14, 2014 in Washington, DC. The panel discussed how NASA's space-based observatories are making new discoveries and how the agency's new telescope, the James Webb Space Telescope, will continue this path of discovery after its schedule launch in 2018. Photo Credit: (NASA/Joel Kowsky)

The seismometer reading from the impact made by the Apollo 15 Saturn S-IVB stage when it struck the lunar surface is studied by scientists in the Mission Control Center. Dr. Gary Latham (dark suit, wearing lapel button) of Columbia University is responsible for the design and experiment data analysis of the Passive Seismic Experiment of the Apollo Lunar Surface Experiment Package (ALSEP). The man on the left, writing, is Nafi Toksos of the Massachusetts Institute of Technology. Looking on at upper left is Dave Lamneline, also with Columbia.

On the panel from right: Leesa Hubbard, teacher in residence, Sally Ride Science, San Diego; David Lehman, GRAIL project manager, NASA's Jet Propulsion Laboratory, Pasadena, Calif.; Maria Zuber, GRAIL principal investigator, Massachusetts Institute of Technology, Cambridge and Jim Green, director, Planetary Science Division, NASA Headquarters, Washington are seen at a press briefing to discuss the upcoming launch to the moon of the Gravity Recovery and Interior Laboratory (GRAIL) mission, Thursday, Aug. 25, 2011 in Washington. Photo Credit: (NASA/Carla Cioffi)

Ben Weiss, Psyche deputy principal investigator and magnetometer lead, Massachusetts Institute of Technology, participates in a Psyche mission and science briefing at NASA’s Kennedy Space Center in Florida on Tuesday, Oct. 10, 2023. Psyche is the first mission to explore an asteroid with a surface that likely contains substantial amounts of metal rather than rock or ice. Liftoff of NASA’s Psyche spacecraft, atop a SpaceX Falcon Heavy rocket, is targeted for 10:16 a.m. EDT Thursday, Oct. 12, from Kennedy’s Launch Complex 39A.

Sara Seager, Professor of Planetary Science at the Massachusetts Institute of Technology, speaks during a press conference, Thursday, Aug. 6, 2009, at NASA Headquarters in Washington about the scientific observations coming from the Kepler spacecraft that was launched this past March. Kepler is NASA's first mission that is capable of discovering earth-sized planets in the habitable zones of stars like our Sun. Photo Credit: (NASA/Paul E. Alers)

KENNEDY SPACE CENTER, FLA. - At the 2005 FIRST Robotics Regional Competition held at the University of Central Florida March 10-12, Center Director Jim Kennedy (right) autographs the shirt of Dr. Woodie Flowers, who is a national advisor and co-founder of FIRST. Dr. Flowers is the Pappalardo Professor of Mechanical Engineering at the Massachusetts Institute of Technology.

CAPE CANAVERAL, Fla. -- The International Space Station Science and Technology Briefing was held in the Press Site auditorium at NASA's Kennedy Space Center in Florida. Speaking to media about the Alpha Magnetic Spectrometer-2 (AMS) is Professor Sam Ting, AMS-2 principal investigator at the Massachusetts Institute of Technology. Endeavour and its crew will deliver the Express Logistics Carrier-3, Alpha Magnetic Spectrometer-2 (AMS), a high-pressure gas tank and additional spare parts for the Dextre robotic helper to the International Space Station. Launch is scheduled for April 29 at 3:47 p.m. EDT. This will be the final spaceflight for Endeavour. For more information visit, www.nasa.gov_mission_pages_shuttle_shuttlemissions_sts134_index.html. Photo credit: NASA_Kim Shiflett

ISS036-E-029545 (7 Aug. 2013) --- In the International Space Station’s Kibo laboratory, NASA astronaut Karen Nyberg, Expedition 36 flight engineer, conducts a session with a pair of bowling-ball-sized free-flying satellites known as Synchronized Position Hold, Engage, Reorient, Experimental Satellites, or SPHERES. Nyberg and NASA astronaut Chris Cassidy (not pictured) put the miniature satellites through their paces for a dry run of the SPHERES Zero Robotics tournament scheduled for Aug. 13. Teams of middle school students from Florida, Georgia, Idaho and Massachusetts will gather at the Massachusetts Institute of Technology in Cambridge to see which teams’ algorithms do the best job of commanding the free-flying robots through a series of maneuvers and objectives.

VANDENBERG AIR FORCE BASE, Calif. – Dara Entekhabi, science team leader at the Massachusetts Institute of Technology in Cambridge, Massachusetts, discusses the science and engineering of NASA's Soil Moisture Active Passive mission, or SMAP, with the audience of a NASA Social held at Vandenberg Air Force Base in California. This NASA Social brought together mission scientists and engineers with an audience of 70 students, educators, social media managers, bloggers, photographers and videographers who were selected from a pool of 325 applicants from 45 countries to participate in launch activities and communicate their experience with social media followers. The SMAP mission is scheduled to launch from Vandenberg on Jan. 29. To learn more about SMAP, visit http://www.nasa.gov/smap. Photo credit: NASA/Kim Shiflett

VANDENBERG AIR FORCE BASE, California – At Vandenberg Air Force Base, California, agency and industry leaders spoke to members of the news media as the Soil Moisture Active Passive, or SMAP, satellite and its Delta II rocket were being prepared for launch. From left are: Christine Bonniksen, SMAP program executive at NASA Headquarters, Tim Dunn, NASA launch manager at Kennedy Space Center, Florida, Vern Thorp, program manager for NASA Missions for United Launch Alliance in Centennial, Colorado, Kent Kellogg, SMAP Project manager at the Jet Propulsion Laboratory in Pasadena, California, Dara Entekhabi, SMAP science team leader at the Massachusetts Institute of Technology in Cambridge, Massachusetts, and 1st Lt. John Martin, launch weather officer, 30th Operations Support Squadron at Vandenberg. Photo credit: NASA/Kim Shiflett

VANDENBERG AIR FORCE BASE, California – At Vandenberg Air Force Base, California, agency and industry leaders spoke to members of the news media as the Soil Moisture Active Passive, or SMAP, satellite and its Delta II rocket were being prepared for launch. From left are: George Diller of NASA Public Affairs, Christine Bonniksen, SMAP program executive at NASA Headquarters, Tim Dunn, NASA launch manager at Kennedy Space Center, Florida Vern Thorp, program manager for NASA Missions for United Launch Alliance in Centennial, Colorado, Kent Kellogg, SMAP Project manager at the Jet Propulsion Laboratory in Pasadena, California, Dara Entekhabi, SMAP science team leader at the Massachusetts Institute of Technology in Cambridge, Massachusetts, and 1st Lt. John Martin, launch weather officer, 30th Operations Support Squadron at Vandenberg. Photo credit: NASA/Kim Shiflett

ISS036-E-029522 (7 Aug. 2013) --- In the International Space Station’s Kibo laboratory, NASA astronaut Karen Nyberg, Expedition 36 flight engineer, conducts a session with a pair of bowling-ball-sized free-flying satellites known as Synchronized Position Hold, Engage, Reorient, Experimental Satellites, or SPHERES. Nyberg and NASA astronaut Chris Cassidy (not pictured) put the miniature satellites through their paces for a dry run of the SPHERES Zero Robotics tournament scheduled for Aug. 13. Teams of middle school students from Florida, Georgia, Idaho and Massachusetts will gather at the Massachusetts Institute of Technology in Cambridge to see which teams’ algorithms do the best job of commanding the free-flying robots through a series of maneuvers and objectives.

VANDENBERG AIR FORCE BASE, Calif. – Dara Entekhabi, science team leader at the Massachusetts Institute of Technology in Cambridge, Massachusetts, and other experts discuss the science and engineering of NASA's Soil Moisture Active Passive mission, or SMAP, with the audience of a NASA Social held at Vandenberg Air Force Base in California. This NASA Social brought together mission scientists and engineers with an audience of 70 students, educators, social media managers, bloggers, photographers and videographers who were selected from a pool of 325 applicants from 45 countries to participate in launch activities and communicate their experience with social media followers. The SMAP mission is scheduled to launch from Vandenberg on Jan. 29. To learn more about SMAP, visit http://www.nasa.gov/smap. Photo credit: NASA/Kim Shiflett

ISS036-E-029539 (7 Aug. 2013) --- In the International Space Station’s Kibo laboratory, NASA astronaut Karen Nyberg, Expedition 36 flight engineer, conducts a session with a pair of bowling-ball-sized free-flying satellites known as Synchronized Position Hold, Engage, Reorient, Experimental Satellites, or SPHERES. Nyberg and NASA astronaut Chris Cassidy (not pictured) put the miniature satellites through their paces for a dry run of the SPHERES Zero Robotics tournament scheduled for Aug. 13. Teams of middle school students from Florida, Georgia, Idaho and Massachusetts will gather at the Massachusetts Institute of Technology in Cambridge to see which teams’ algorithms do the best job of commanding the free-flying robots through a series of maneuvers and objectives.

ISS036-E-029521 (7 Aug. 2013) --- In the International Space Station’s Kibo laboratory, NASA astronaut Karen Nyberg, Expedition 36 flight engineer, conducts a session with a pair of bowling-ball-sized free-flying satellites known as Synchronized Position Hold, Engage, Reorient, Experimental Satellites, or SPHERES. Nyberg and NASA astronaut Chris Cassidy (not pictured) put the miniature satellites through their paces for a dry run of the SPHERES Zero Robotics tournament scheduled for Aug. 13. Teams of middle school students from Florida, Georgia, Idaho and Massachusetts will gather at the Massachusetts Institute of Technology in Cambridge to see which teams’ algorithms do the best job of commanding the free-flying robots through a series of maneuvers and objectives.

CAPE CANAVERAL, Fla. -- Prior to the arrival of the Alpha Magnetic Spectrometer, or AMS, to the Shuttle Landing Facility at NASA's Kennedy Space Center in Florida, Professor Sam Ting, AMS Principal Investigator from the Massachusetts Institute of Technology speaks with the media. AMS is a state-of-the-art particle physics detector is designed to operate as an external module on the International Space Station. It will use the unique environment of space to study the universe and its origin by searching for dark matter. AMS will fly to the International Space Station aboard space shuttle Endeavour's STS-134 mission targeted to launch Feb. 26, 2011. Photo credit: NASA/Kim Shiflett

CAPE CANAVERAL, Fla. -- In the Training Auditorium at NASA's Kennedy Space Center in Florida, Professor Sam Ting talks to employees about the Alpha Magnetic Spectrometer-2 (AMS). Ting is the particle physics detector's principal investigator at the Massachusetts Institute of Technology. AMS is designed to operate as an external module on the International Space Station. It will use the unique environment of space to study the universe and its origin by searching for dark matter. AMS-2 will fly to the station aboard space shuttle Endeavour's STS-134 mission targeted to launch Feb. 27, 2011. Photo credit: NASA/Jim Grossmann

S83-44997 (28 Nov 1983) --- The Columbia lifts off once again from launch pad 39A at the Kennedy Space Center to begin a busy nine days in space for six crewmembers. Official launch time was 11:00:00:84 a.m. (EST). Onboard the spacecraft are Astronauts John W. Young, Brewster Shaw, Jr., Dr. Owen K. Garriott, Dr. Robert A. R. Parker; the European Space Agency?s Dr. Ulf Merbold; and Dr. Byron K. Lichtenberg, biomedical engineer with Massachusetts Institute of Technology.

CAPE CANAVERAL, Fla. -- In the Space Station Processing Facility at NASA's Kennedy Space Center in Florida, Professor Sam Ting, Alpha Magnetic Spectrometer-2 (AMS) principal investigator at the Massachusetts Institute of Technology, checks out the particle physics detector. AMS is designed to operate as an external experiment on the International Space Station. It will use the unique environment of space to study the universe and its origin by searching for dark matter. AMS-2 will fly to the station aboard space shuttle Endeavour's STS-134 mission targeted to launch April 19 at 7:48 p.m. EDT. For more information visit, www.nasa.gov/mission_pages/shuttle/shuttlemissions/sts134/index.html. Photo credit: NASA/Glenn Benson

Paula do Vale Pereira, BeaverCube, Massachusetts Institute of Technology, participates in a climate conversation at NASA’s Kennedy Space Center in Florida on July 13, 2022, leading up to SpaceX’s 25th Commercial Resupply Services mission for NASA to the International Space Station. The Dragon capsule atop SpaceX’s Falcon 9 rocket is scheduled to lift off from Kennedy’s Launch Complex 39A on July 14 at 8:44 p.m. EDT. Dragon will deliver more than 5,800 pounds of cargo, including a variety of NASA investigations, to the space station.

CAPE CANAVERAL, Fla. -- Prior to the arrival of the Alpha Magnetic Spectrometer, or AMS, to the Shuttle Landing Facility at NASA's Kennedy Space Center in Florida, Professor Sam Ting, AMS Principal Investigator from the Massachusetts Institute of Technology speaks to the media. AMS,a state-of-the-art particle physics detector, is designed to operate as an external module on the International Space Station. It will use the unique environment of space to study the universe and its origin by searching for dark matter. AMS will fly to the International Space Station aboard space shuttle Endeavour's STS-134 mission targeted to launch Feb. 26, 2011. Photo credit: NASA/Kim Shiflett

CAPE CANAVERAL, Fla. -- In the Training Auditorium at NASA's Kennedy Space Center in Florida, Professor Sam Ting talks to employees about the Alpha Magnetic Spectrometer-2 (AMS). Ting is the particle physics detector's principal investigator at the Massachusetts Institute of Technology. AMS is designed to operate as an external module on the International Space Station. It will use the unique environment of space to study the universe and its origin by searching for dark matter. AMS-2 will fly to the station aboard space shuttle Endeavour's STS-134 mission targeted to launch Feb. 27, 2011. Photo credit: NASA/Jim Grossmann

Dara Entekhabi, SMAP science team lead, Massachusetts Institute of Technology, speaks during a briefing about the upcoming launch of the Soil Moisture Active Passive (SMAP) mission, Thursday, Jan. 08, 2015, at NASA Headquarters in Washington DC. The mission is scheduled for a Jan. 29 launch from Vandenberg Air Force Base in California, and will provide the most accurate, highest-resolution global measurements of soil moisture ever obtained from space. The data will be used to enhance scientists' understanding of the processes that link Earth's water, energy and carbon cycles. Photo Credit: (NASA/Aubrey Gemignani)

Maria Zuber, GRAIL principal investigator, Massachusetts Institute of Technology, Cambridge, answers a reporter's question at a press briefing about the upcoming launch to the moon of the Gravity Recovery and Interior Laboratory (GRAIL) mission, Thursday, Aug. 25, 2011 in Washington. GRAIL's primary science objectives are to determine the structure of the lunar interior, from crust to core, and to advance understanding of the thermal evolution of the moon. The mission will place two spacecraft into the same orbit around the moon which will gather information about the its gravitational field enabling scientists to create a high-resolution map. Photo Credit: (NASA/Carla Cioffi)

CAPE CANAVERAL, Fla. -- In the Training Auditorium at NASA's Kennedy Space Center in Florida, Professor Sam Ting talks to employees about the Alpha Magnetic Spectrometer-2 (AMS). Ting is the particle physics detector's principal investigator at the Massachusetts Institute of Technology. AMS is designed to operate as an external module on the International Space Station. It will use the unique environment of space to study the universe and its origin by searching for dark matter. AMS-2 will fly to the station aboard space shuttle Endeavour's STS-134 mission targeted to launch Feb. 27, 2011. Photo credit: NASA/Jim Grossmann

One investigation on NASA's Mars 2020 rover will extract oxygen from the Martian atmosphere. It is called MOXIE, for Mars Oxygen In-Situ Resource Utilization Experiment. In this image, MOXIE Principal Investigator Michael Hecht, of the Massachusetts Institute of Technology, Cambridge, is in the MOXIE development laboratory at NASA's Jet Propulsion Laboratory, Pasadena, California. Mars' atmosphere is mostly carbon dioxide. Demonstration of the capability for extracting oxygen from it, under Martian environmental conditions, will be a pioneering step toward how humans on Mars will use the Red Planet's natural resources. Oxygen can be used in the rocket http://photojournal.jpl.nasa.gov/catalog/PIA20761

Paula do Vale Pereira, BeaverCube, Massachusetts Institute of Technology, participates in a climate conversation at NASA’s Kennedy Space Center in Florida on July 13, 2022, leading up to SpaceX’s 25th Commercial Resupply Services mission for NASA to the International Space Station. The Dragon capsule atop SpaceX’s Falcon 9 rocket is scheduled to lift off from Kennedy’s Launch Complex 39A on July 14 at 8:44 p.m. EDT. Dragon will deliver more than 5,800 pounds of cargo, including a variety of NASA investigations, to the space station.

Dara Entekhabi, SMAP science team lead, Massachusetts Institute of Technology, center, speaks during a briefing about the upcoming launch of the Soil Moisture Active Passive (SMAP) mission, Thursday, Jan. 08, 2015, at NASA Headquarters in Washington DC. The mission is scheduled for a Jan. 29 launch from Vandenberg Air Force Base in California, and will provide the most accurate, highest-resolution global measurements of soil moisture ever obtained from space. The data will be used to enhance scientists' understanding of the processes that link Earth's water, energy and carbon cycles. Photo Credit: (NASA/Aubrey Gemignani)

CAPE CANAVERAL, Fla. -- In the Space Station Processing Facility at NASA's Kennedy Space Center in Florida Professor Sam Ting, Alpha Magnetic Spectrometer-2 (AMS) principal investigator at the Massachusetts Institute of Technology, talks to media about the particle physics detector. AMS is designed to operate as an external experiment on the International Space Station. It will use the unique environment of space to study the universe and its origin by searching for dark matter. AMS-2 will fly to the station aboard space shuttle Endeavour's STS-134 mission targeted to launch April 19 at 7:48 p.m. EDT. For more information visit, www.nasa.gov/mission_pages/shuttle/shuttlemissions/sts134/index.html. Photo credit: NASA/Glenn Benson

CAPE CANAVERAL, Fla. -- At the Shuttle Landing Facility at NASA's Kennedy Space Center in Florida, Professor Sam Ting, AMS Principal Investigator from the Massachusetts Institute of Technology listens intently as Professor Manuel Aguilar, AMS Spanish Coordinator, speaks to the media before the arrival of the Alpha Magnetic Spectrometer, or AMS. AMS, a state-of-the-art particle physics detector, is designed to operate as an external module on the International Space Station. It will use the unique environment of space to study the universe and its origin by searching for dark matter. The STS-134 crew will fly AMS to the International Space Station aboard space shuttle Endeavour, targeted to launch Feb. 26, 2011. Photo credit: NASA/Kim Shiflett

CAPE CANAVERAL, Fla. -- The International Space Station Science and Technology Briefing was held in the Press Site auditorium at NASA's Kennedy Space Center in Florida. Speaking to media about the Alpha Magnetic Spectrometer-2 (AMS) are Mark Sistilli, NASA program manager (left); Saul Gonzales, AMS program manager from the U.S. Department of Energy and Professor Sam Ting, AMS-2 principal investigator at the Massachusetts Institute of Technology. Endeavour and its crew will deliver the Express Logistics Carrier-3, Alpha Magnetic Spectrometer-2 (AMS), a high-pressure gas tank and additional spare parts for the Dextre robotic helper to the International Space Station. Launch is scheduled for April 29 at 3:47 p.m. EDT. This will be the final spaceflight for Endeavour. For more information visit, www.nasa.gov_mission_pages_shuttle_shuttlemissions_sts134_index.html. Photo credit: NASA_Kim Shiflett

S74-34046 (October 1974) --- Dr. James C. Fletcher, left, NASA Administrator, explains the formation of the indium-antimonide crystal, manufactured in space, to President Gerald R. Ford at the White House. Standing at right is Harold Johnson, Chairman of the Massachusetts Institute of Technology. The segment of indium-antimonide is cut from a cylindrical single crystal that was partially melted and resolidified aboard the Skylab space station on Jan. 6, 1974, during the third and final manned flight. This segment is approximately one by one centimeters and about three millimeters thick. The sequence of heating and cooling was started and supervised by the members of the third Skylab crew, astronauts Gerald P. Carr, Edward G. Gibson and William R. Pogue. The crystal forming was accomplished in a special multipurpose furnace, known as the Materials Processing Facility (Skylab Technology Experiment M512). Photo credit: NASA

Apex high-altitude research sailplane mock-up

Apex wing section undergoing loading test.

Apex wing section undergoing loading test preparation by Mark Nunnelee and Eliseo Sanchez

Computer generated image of Apex high-altitude research sailplane in flight

Harry Mergler stands at the control board of a differential analyzer in the new Instrument Research Laboratory at the National Advisory Committee for Aeronautics (NACA) Lewis Flight Propulsion Laboratory. The differential analyzer was a multi-variable analog computation machine devised in 1931 by Massachusetts Institute of Technology researcher and future NACA Committee member Vannevar Bush. The mechanical device could solve computations up to the sixth order, but had to be rewired before each new computation. Mergler modified Bush’s differential analyzer in the late 1940s to calculate droplet trajectories for Lewis’ icing research program. In four days Mergler’s machine could calculate what previously required weeks. NACA Lewis built the Instrument Research Laboratory in 1950 and 1951 to house the large analog computer equipment. The two-story structure also provided offices for the Mechanical Computational Analysis, and Flow Physics sections of the Physics Division. The division had previously operated from the lab’s hangar because of its icing research and flight operations activities. Mergler joined the Instrument Research Section of the Physics Division in 1948 after earning an undergraduate degree in Physics from the Case Institute of Technology. Mergler’s focus was on the synthesis of analog computers with the machine tools used to create compressor and turbine blades for jet engines.

Leon Van Speybroeck of the Harvard-Smithsonian Center for Astrophysics in Cambridge Massachusetts was awarded the 2002 Bruno Rossi Prize of the High-Energy Astrophysics Division of the American Astronomy Society. The Rossi Prize is an arnual recognition of significant contributions in high-energy astrophysics in honor of the Massachusetts Institute of Technology's late Professor Bruno Rossi, an authority on cosmic ray physics and a pioneer in the field of x-ray astronomy. Van Speybroeck, who led the effort to design and make the x-ray mirrors for NASA's premier Chandra X-Ray Observatory, was recognized for a career of stellar achievements in designing precision x-ray optics. As Telescope Scientist for Chandra, he has worked for more than 20 years with a team that includes scientists and engineers from the Harvard-Smithsonian, NASA's Marshall Space Flight Center, TRW, Inc., Huhes-Danbury (now B.F. Goodrich Aerospace), Optical Coating Laboratories, Inc., and Eastman-Kodak on all aspects of the x-ray mirror assembly that is the heart of the observatory.

A Psyche mission and science briefing takes place at NASA’s Kennedy Space Center in Florida on Tuesday, Oct. 10, 2023. Participants, from left, are: Alana Johnson, NASA Communications; Lori Glaze, Planetary Science division director, NASA Headquarters; Lindy Elkins-Tanton, Psyche principal investigator, Arizona State University; Ben Weiss, Psyche deputy principal investigator and magnetometer lead, Massachusetts Institute of Technology; David Oh, Psyche chief engineer for operations, NASA’s Jet Propulsion Laboratory (JPL); and Abi Biswas, Deep Space Optical Communications project technologist, JPL. Psyche is the first mission to explore an asteroid with a surface that likely contains substantial amounts of metal rather than rock or ice. Liftoff of NASA’s Psyche spacecraft, atop a SpaceX Falcon Heavy rocket, is targeted for 10:16 a.m. EDT Thursday, Oct. 12, from Kennedy’s Launch Complex 39A.

STS-94 Payload Commander Janice Voss prepares to enter the Space Shuttle Columbia at Launch Pad 39A in preparation for launch. She has flown on STS-83, STS-63 and STS-57. Voss holds a doctorate degree in aeronautics/astronautics from the Massachusetts Institute of Technology and has earned two NASA Space Flight Medals. As Payload Commander and a member of the Blue team, Voss will have overall responsibility for the operation of all of the MSL-1 experiments. During the experimentation phase of the mission, she be working primarily with three combustion experiments. She and six fellow crew members will lift off during a launch window that opens at 1:50 p.m. EDT, July 1. The launch window will open 47 minutes early to improve the opportunity to lift off before Florida summer rain showers reach the space center

CAPE CANAVERAL, Fla. -- STS-134 Commander Mark Kelly, lying down, and Professor Sam Ting, Alpha Magnetic Spectrometer-2 (AMS) principal investigator at the Massachusetts Institute of Technology, perform a walkdown of space shuttle Endeavour's payload bay. The Express Logistics Carrier-3 packed with spare parts and the (AMS) are inside the bay for the STS-134 mission to the International Space Station. Endeavour's six crew members are at Kennedy for the launch countdown dress rehearsal called the Terminal Countdown Demonstration Test (TCDT) and related training. Endeavour is targeted to launch April 19 at 7:48 p.m. EDT on its final spaceflight mission. For more information visit, www.nasa.gov/mission_pages/shuttle/shuttlemissions/sts134/index.html. Photo credit: NASA/Kim Shiflett

CAPE CANAVERAL, Fla. -- After the arrival of the Alpha Magnetic Spectrometer, or AMS, at the Shuttle Landing Facility at NASA's Kennedy Space Center in Florida, Professor Sam Ting, AMS Principal Investigator from the Massachusetts Institute of Technology speaks with the media while STS-134 Commander Mark Kelly, Mission Specialists Michael Fincke and Greg Chamitoff look on. AMS,a state-of-the-art particle physics detector, is designed to operate as an external module on the International Space Station. It will use the unique environment of space to study the universe and its origin by searching for dark matter. AMS will fly to the International Space Station aboard space shuttle Endeavour's STS-134 mission targeted to launch Feb. 26, 2011. Photo credit: NASA/Kim Shiflett

A Psyche mission and science briefing takes place at NASA’s Kennedy Space Center in Florida on Tuesday, Oct. 10, 2023. Participants, from left, are: Alana Johnson, NASA Communications; Lori Glaze, Planetary Science division director, NASA Headquarters; Lindy Elkins-Tanton, Psyche principal investigator, Arizona State University; Ben Weiss, Psyche deputy principal investigator and magnetometer lead, Massachusetts Institute of Technology; David Oh, Psyche chief engineer for operations, NASA’s Jet Propulsion Laboratory (JPL); and Abi Biswas, Deep Space Optical Communications project technologist, JPL. Psyche is the first mission to explore an asteroid with a surface that likely contains substantial amounts of metal rather than rock or ice. Liftoff of NASA’s Psyche spacecraft, atop a SpaceX Falcon Heavy rocket, is targeted for 10:16 a.m. EDT Thursday, Oct. 12, from Kennedy’s Launch Complex 39A.

CAPE CANAVERAL, Fla. -- The International Space Station Science and Technology Briefing was held in the Press Site auditorium at NASA's Kennedy Space Center in Florida. Speaking to media about the Alpha Magnetic Spectrometer-2 (AMS) are Mark Sistilli, NASA program manager (left); Saul Gonzales, AMS program manager from the U.S. Department of Energy and Professor Sam Ting, AMS-2 principal investigator at the Massachusetts Institute of Technology.Endeavour and its crew will deliver the Express Logistics Carrier-3, Alpha Magnetic Spectrometer-2 (AMS), a high-pressure gas tank and additional spare parts for the Dextre robotic helper to the International Space Station. Launch is scheduled for April 29 at 3:47 p.m. EDT. This will be the final spaceflight for Endeavour. For more information visit, www.nasa.gov_mission_pages_shuttle_shuttlemissions_sts134_index.html. Photo credit: NASA_Kim Shiflett

A climate conversation is held at NASA’s Kennedy Space Center in Florida on July 13, 2022, leading up to SpaceX’s 25th Commercial Resupply Services mission for NASA to the International Space Station. Participants, from left are Moderator Tylar Greene, NASA Communications; Kate Calvin, NASA’s chief scientist and climate advisor; Heidi Parris, associate scientist, International Space Station Program; Mike Roberts, chief scientist, ISS National Lab; Rob Green, JPL senior research scientist and EMIT (Earth Surface Mineral Dust Source Investigation) principal investigator; and Paula do Vale Pereira, BeaverCube, Massachusetts Institute of Technology. The Dragon capsule atop SpaceX’s Falcon 9 rocket is scheduled to lift off from Kennedy’s Launch Complex 39A on July 14 at 8:44 p.m. EDT. Dragon will deliver more than 5,800 pounds of cargo, including a variety of NASA investigations, to the space station.

A climate conversation is held at NASA’s Kennedy Space Center in Florida on July 13, 2022, leading up to SpaceX’s 25th Commercial Resupply Services mission for NASA to the International Space Station. Participants, from left are Moderator Tylar Greene, NASA Communications; Kate Calvin, NASA’s chief scientist and climate advisor; Heidi Parris, associate scientist, International Space Station Program; Mike Roberts, chief scientist, ISS National Lab; Rob Green, JPL senior research scientist and EMIT (Earth Surface Mineral Dust Source Investigation) principal investigator; and Paula do Vale Pereira, BeaverCube, Massachusetts Institute of Technology. The Dragon capsule atop SpaceX’s Falcon 9 rocket is scheduled to lift off from Kennedy’s Launch Complex 39A on July 14 at 8:44 p.m. EDT. Dragon will deliver more than 5,800 pounds of cargo, including a variety of NASA investigations, to the space station.

STS-83 Payload Commander Janice Voss smiles as she is assisted into her launch/entry suit in the Operations and checkout (O&C) Building. She has flown on STS-63 and STS-57. Voss holds a doctorate degree in aeronautics/astronautics from the Massachusetts Institute of Technology and has earned two NASA Space Flight Medals. As Payload Commander and a member of the Blue team, Voss will have overall responsibility for the operation of all of the MSL-1 experiments. During the experimentation phase of the mission, she will be working primarily with three combustion experiments. She and six fellow crew members will shortly depart the O&C and head for Launch Pad 39A, where the Space Shuttle Columbia will lift off during a launch window that opens at 2:00 p.m. EST, April 4

Panelists (from left) Ellen Stofan, NASA Chief Scientist, left; John Grunsfeld, Associate Administrator for NASA's Science Mission DIrectorate, second from left; John Mather, Nobel Laureate and Senior Project Scientist for the James Webb Space Telescope (JWST) at NASA's Goddard Space Flight Center, third from left; Sara Seager, MacArthur Fellow and Professor of Planetary Science and Physics at the Massachusetts Institute of Technology, third from right; Dave Gallagher, Director for Astronomy and Physics at NASA's Jet Propulsion Laboratory, second from right; and Matt Mountain, Director of the Space Telescope Science Institute and Telescope Scientist for the JWST, right; are seen during a panel discussion on the search for life beyond Earth in the James E. Webb Auditorium at NASA Headquarters on Monday, July 14, 2014 in Washington, DC. The panel discussed how NASA's space-based observatories are making new discoveries and how the agency's new telescope, the James Webb Space Telescope, will continue this path of discovery after its schedule launch in 2018. Photo Credit: (NASA/Joel Kowsky)

Participants in NASA's Minority Serving Institutions Space Accelerator program surround a full-scale model of NASA's Mars Ingenuity Helicopter as engineer Michael Starch discusses the mission. The group was visiting NASA's Jet Propulsion Laboratory on Aug. 18, 2022. These participants were members of three teams named as awardees in the first-of-its-kind accelerator program, a competition to advance the NASA's goals and meet its needs in the areas of machine learning, artificial intelligence, and development of autonomous systems while also engaging underrepresented academic institutions and reducing barriers for them to submit ideas to the agency. The program provides funding, business training through a 10-week accelerator course, and mentorship to help the teams develop ideas for systems that can operate without human oversight for future science missions in space and on Earth. The teams were made up of professors and students from Fayetteville State University in North Carolina, University of Massachusetts Boston, and California State University, Northridge. At the conclusion of the accelerator, participants arrived in Southern California for a variety of events, including two days at JPL. The program is a partnership between NASA's Science Mission Directorate, its Earth Science Technology Office, the Minority University Research Education Project within the agency's Office of STEM Engagement, JPL, and Starburst, a global aerospace accelerator company based in Los Angeles. https://photojournal.jpl.nasa.gov/catalog/PIA25315

The science briefing ahead of launch for NASA’s Psyche spacecraft, a mission to a unique metal-rich asteroid. Psyche will travel nearly six years and about 2.2 billion miles (3.6 billion kilometers) – to an asteroid of the same name, which is orbiting the Sun between Mars and Jupiter. Scientists believe Psyche could be part of the core of a planetesimal, likely made of iron-nickel metal. The ore will not be mined but studied from orbit in hopes of giving researchers a better idea of what may make up Earth’s core. The Psyche spacecraft also will host a pioneering technology demonstration: NASA’s DSOC (Deep Space Optical Communications) experiment. This laser communications system will operate for the first two years of Psyche’s journey. Launch is targeted for 10:16 a.m. EDT, Thursday, Oct. 12, from Kennedy’s Launch Complex 39A. The participants include Lori Glaze, director, Planetary Sciences Division, NASA Headquarters in Washington; Lindy Elkins-Tanton, principal investigator of Psyche, Arizona State University; Ben Weiss, deputy principal investigator and magnetometer lead, Massachusetts Institute of Technology; David Oh, chief engineer for operations, NASA’s Jet Propulsion Laboratory; and Abi Biswas, project technologist for DSOC, NASA’s Jet Propulsion Laboratory.

This 2015 diagram shows components of the investigations payload for NASA's Mars 2020 rover mission. Mars 2020 will re-use the basic engineering of NASA's Mars Science Laboratory to send a different rover to Mars, with new objectives and instruments, launching in 2020. The rover will carry seven instruments to conduct its science and exploration technology investigations. They are: Mastcam-Z, an advanced camera system with panoramic and stereoscopic imaging capability and the ability to zoom. The instrument also will determine mineralogy of the Martian surface and assist with rover operations. The principal investigator is James Bell, Arizona State University in Tempe. SuperCam, an instrument that can provide imaging, chemical composition analysis, and mineralogy. The instrument will also be able to detect the presence of organic compounds in rocks and regolith from a distance. The principal investigator is Roger Wiens, Los Alamos National Laboratory, Los Alamos, New Mexico. This instrument also has a significant contribution from the Centre National d'Etudes Spatiales, Institut de Recherche en Astrophysique et Planétologie (CNES/IRAP) France. Planetary Instrument for X-ray Lithochemistry (PIXL), an X-ray fluorescence spectrometer that will also contain an imager with high resolution to determine the fine-scale elemental composition of Martian surface materials. PIXL will provide capabilities that permit more detailed detection and analysis of chemical elements than ever before. The principal investigator is Abigail Allwood, NASA's Jet Propulsion Laboratory, Pasadena, California. Scanning Habitable Environments with Raman & Luminescence for Organics and Chemicals (SHERLOC), a spectrometer that will provide fine-scale imaging and uses an ultraviolet (UV) laser to determine fine-scale mineralogy and detect organic compounds. SHERLOC will be the first UV Raman spectrometer to fly to the surface of Mars and will provide complementary measurements with other instruments in the payload. SHERLOC includes a high-resolution color camera for microscopic imaging of Mars' surface. The principal investigator is Luther Beegle, JPL. The Mars Oxygen ISRU Experiment (MOXIE), an exploration technology investigation that will produce oxygen from Martian atmospheric carbon dioxide. The principal investigator is Michael Hecht, Massachusetts Institute of Technology, Cambridge, Massachusetts. Mars Environmental Dynamics Analyzer (MEDA), a set of sensors that will provide measurements of temperature, wind speed and direction, pressure, relative humidity and dust size and shape. The principal investigator is Jose Rodriguez-Manfredi, Centro de Astrobiologia, Instituto Nacional de Tecnica Aeroespacial, Spain. The Radar Imager for Mars' Subsurface Experiment (RIMFAX), a ground-penetrating radar that will provide centimeter-scale resolution of the geologic structure of the subsurface. The principal investigator is Svein-Erik Hamran, the Norwegian Defence Research Establishment, Norway. http://photojournal.jpl.nasa.gov/catalog/PIA19672

Daedalus - Last Dryden flight with Glenn Tremml

Daedalus Project's Light Eagle - Human powered aircraft

Ken Farley, project scientist, California Institute of Technology, participates in a Mars 2020 Mission Engineering and Science Briefing at NASA’s Kennedy Space Center in Florida on July 27, 2020. The Mars Perseverance rover is scheduled to launch July 30, on a United Launch Alliance Atlas V 541 rocket from Space Launch Complex 41 at nearby Cape Canaveral Air Force Station. The rover is part of NASA’s Mars Exploration Program, a long-term effort of robotic exploration of the Red Planet. The rover will search for habitable conditions in the ancient past and signs of past microbial life on Mars. The Launch Services Program at Kennedy is responsible for launch management.

DC Agle, with NASA’s Jet Propulsion Laboratory, moderates a Mars 2020 Mission Engineering and Science Briefing at NASA’s Kennedy Space Center in Florida on July 27, 2020. The Mars Perseverance rover is scheduled to launch July 30, on a United Launch Alliance Atlas V 541 rocket from Space Launch Complex 41 at nearby Cape Canaveral Air Force Station. The rover is part of NASA’s Mars Exploration Program, a long-term effort of robotic exploration of the Red Planet. The rover will search for habitable conditions in the ancient past and signs of past microbial life on Mars. The Launch Services Program at Kennedy is responsible for launch management.

A Mars 2020 Mission Engineering and Science Briefing is held at NASA’s Kennedy Space Center in Florida on July 27, 2020. Participating in the briefing from left, are Moderator DC Agle, NASA’s Jet Propulsion Laboratory; Lori Glaze, Planetary Science Division director, NASA Headquarters; and Ken Farley, project scientist, California Institute of Technology. The Mars Perseverance rover is scheduled to launch July 30, on a United Launch Alliance Atlas V 541 rocket from Space Launch Complex 41 at nearby Cape Canaveral Air Force Station. The rover is part of NASA’s Mars Exploration Program, a long-term effort of robotic exploration of the Red Planet. The rover will search for habitable conditions in the ancient past and signs of past microbial life on Mars. The Launch Services Program at Kennedy is responsible for launch management.

Lori Glaze, Planetary Science Division director, NASA Headquarters, participates in a Mars 2020 Mission Engineering and Science Briefing at NASA’s Kennedy Space Center in Florida on July 27, 2020. The Mars Perseverance rover is scheduled to launch July 30, on a United Launch Alliance Atlas V 541 rocket from Space Launch Complex 41 at nearby Cape Canaveral Air Force Station. The rover is part of NASA’s Mars Exploration Program, a long-term effort of robotic exploration of the Red Planet. The rover will search for habitable conditions in the ancient past and signs of past microbial life on Mars. The Launch Services Program at Kennedy is responsible for launch management.

A Mars 2020 Mission Engineering and Science Briefing is held at NASA’s Kennedy Space Center in Florida on July 27, 2020. Participating in the briefing from left, are Moderator DC Agle, NASA’s Jet Propulsion Laboratory; Lori Glaze, Planetary Science Division director, NASA Headquarters; and Ken Farley, project scientist, California Institute of Technology. The Mars Perseverance rover is scheduled to launch July 30, on a United Launch Alliance Atlas V 541 rocket from Space Launch Complex 41 at nearby Cape Canaveral Air Force Station. The rover is part of NASA’s Mars Exploration Program, a long-term effort of robotic exploration of the Red Planet. The rover will search for habitable conditions in the ancient past and signs of past microbial life on Mars. The Launch Services Program at Kennedy is responsible for launch management.

Christine Bonniksen, SMAP program executive with the Science Mission Directorate’s Earth Science Division, NASA Headquarters, left, Kent Kellogg, SMAP project manager, NASA Jet Propulsion Laboratory (JPL), second from left, Dara Entekhabi, SMAP science team lead, Massachusetts Institute of Technology, second from right, and Brad Doorn, SMAP applications lead, Science Mission Directorate’s Applied Sciences Program, NASA Headquarters, right, are seen during a briefing about the upcoming launch of the Soil Moisture Active Passive (SMAP) mission, Thursday, Jan. 08, 2015, at NASA Headquarters in Washington DC. The mission is scheduled for a Jan. 29 launch from Vandenberg Air Force Base in California, and will provide the most accurate, highest-resolution global measurements of soil moisture ever obtained from space. The data will be used to enhance scientists' understanding of the processes that link Earth's water, energy and carbon cycles. Photo Credit: (NASA/Aubrey Gemignani)

This image depicts the formation of multiple whirlpools in a sodium gas cloud. Scientists who cooled the cloud and made it spin created the whirlpools in a Massachusetts Institute of Technology laboratory, as part of NASA-funded research. This process is similar to a phenomenon called starquakes that appear as glitches in the rotation of pulsars in space. MIT's Wolgang Ketterle and his colleagues, who conducted the research under a grant from the Biological and Physical Research Program through NASA's Jet Propulsion Laboratory, Pasadena, Calif., cooled the sodium gas to less than one millionth of a degree above absolute zero (-273 Celsius or -460 Fahrenheit). At such extreme cold, the gas cloud converts to a peculiar form of matter called Bose-Einstein condensate, as predicted by Albert Einstein and Satyendra Bose of India in 1927. No physical container can hold such ultra-cold matter, so Ketterle's team used magnets to keep the cloud in place. They then used a laser beam to make the gas cloud spin, a process Ketterle compares to stroking a ping-pong ball with a feather until it starts spirning. The spinning sodium gas cloud, whose volume was one- millionth of a cubic centimeter, much smaller than a raindrop, developed a regular pattern of more than 100 whirlpools.

S83-32900 (25 May 1983) --- This is the official insignia for STS-9, the major payload of which is Spacelab-1, depicted in the cargo bay of the space shuttle Columbia. The nine stars and the path of the orbiter tell the flight's numerical designation in the Space Transportation System's mission sequence. Astronaut John W. Young is crew commander; Brewster H. Shaw Jr., pilot. NASA astronauts Owen K. Garriott and Robert A.R. Parker are mission specialists. Byron K. Lichtenberg of the Massachusetts Institute of Technology and Ulf Merbold of the Republic of West Germany are the Spacelab-1 payload specialists. Launch has been set for late 1983. Merbold is a physicist representing the European Space Agency (ESA). The NASA insignia design for space shuttle flights is reserved for use by the astronauts and for other official use as the NASA Administrator may authorize. Public availability has been approved only in the forms of illustrations by the various news media. When and if there is any change in this policy, which is not anticipated, the change will be publicly announced. Photo credit: NASA

The hemispheric view of Venus, as revealed by more than a decade of radar investigations culminating in the 1990-1994 Magellan mission, is centered on the North Pole. The Magellan spacecraft imaged more than 98% of Venus at a resolution of about 100 meters; the effective resolution of this image is about 3 km. A mosaic of the Magellan images (most with illumination from the west) forms the image base. Gaps in the Magellan coverage were filled with images from the Earth-based Arecibo radar in a region centered roughly on 0 degree latitude and longitude, and with a neutral tone elsewhere (primarily near the south pole). The composite image was processed to improve contrast and to emphasize small features, and was color-coded to represent elevation. Gaps in the elevation data from the Magellan radar altimeter were filled with altimetry from the Venera spacecraft and the U.S. Pioneer Venus missions. An orthographic projection was used, simulating a distant view of one hemisphere of the planet. The Magellan mission was managed for NASA by Jet Propulsion Laboratory (JPL), Pasadena, CA. Data processed by JPL, the Massachusetts Institute of Technology, Cambridge, MA, and the U.S. Geological Survey, Flagstaff, AZ. http://photojournal.jpl.nasa.gov/catalog/PIA00007

CAPE CANAVERAL, Fla. – – Maria Zuber, GRAIL principal investigator with the Massachusetts Institute of Technology, participates in the Gravity Recovery and Interior Laboratory (GRAIL) mission science briefing in the NASA Press Site auditorium at NASA's Kennedy Space Center in Florida. GRAIL is scheduled to launch Sept. 8 aboard a United Launch Alliance Delta II Heavy rocket from Cape Canaveral Air Force Station in Florida. GRAIL will fly twin spacecraft in tandem around the moon to precisely measure and map variations in the moon's gravitational field. The mission will provide the most accurate global gravity field to date for any planet, including Earth. This detailed information will reveal differences in the density of the moon's crust and mantle and will help answer fundamental questions about the moon's internal structure, thermal evolution, and history of collisions with asteroids. The aim is to map the moon's gravity field so completely that future moon vehicles can safely navigate anywhere on the moon’s surface. For more information, visit http://www.nasa.gov/grail. Photo credit: NASA/Kim Shiflett

Nobel laureate Professor Samuel C. C. Ting of the Massachusetts Institute of Technology pauses for a photo in the Space Station Processing Facility. Dr. Ting is directing an experiment, an international collaboration of some 37 universities and laboratories, using a state-of-the-art particle physics detector called the Alpha Magnetic Spectrometer (AMS), which will fly on a future launch to the International Space Station. Using the unique environment of space, the AMS will study the properties and origin of cosmic particles and nuclei including antimatter and dark matter. AMS flew initially as a Space Shuttle payload on the June 1998 mission STS-91 that provided the investigating team with data on background sources and verified the detector’s performance under actual space flight conditions. The detector’s second space flight is scheduled to be launched on mission UF-4 October 2003 for installation on the Space Station as an attached payload. Current plans call for operating the detector for three years before it is returned to Earth on the Shuttle. Using the Space Station offers the science team the opportunity to conduct the long-duration research above the Earth’s atmosphere necessary to collect sufficient data required to accomplish the science objectives

The National Advisory Committee for Aeronautics (NACA) Subcommittee on Combustion holds a meeting at Lewis Flight Propulsion Laboratory in Cleveland, Ohio. The NACA was managed by committees that included members of their own staff along with representatives from industry, the military, other government agencies, and universities. The 17-person Executive Committee was the NACA’s primary administrative body. They met several times a year at the NACA headquarters office in Washington DC to discuss broad issues confronting the US aeronautical community. Jerome Hunsaker, head of the Department of Aeronautical Engineering at the Massachusetts Institute of Technology, served as the NACA chairman from 1941 to 1956. George Lewis was not a member of the Executive Committee but served a key role as the NACA’s Director of Aeronautical Research. The NACA’s organizational chart also included 11 technical committees, several of which had specialized subcommittees. There were over 100 different subcommittees between World War I and 1958. The number of active subcommittees varied over the years. Most existed only for a few years, but some continued for over a decade. The subcommittees met three or four times per year, often at the laboratory most closely associated with the area of research. A team of laboratory researchers presented briefings on their recent activities and plans for the future. The Subcommittee on Combustion existed from 1945 to the NACA’s demise in 1958.

CAPE CANAVERAL, Fla. -- NASA Administrator Charles Bolden, left, speaks with Professor Sam Ting, Alpha Magnetic Spectrometer-2 principal investigator at the Massachusetts Institute of Technology, Kennedy Center Director Bob Cabana and STS-1 Pilot and former Kennedy Space Center Director Bob Crippen. In a ceremony held in front of Orbiter Processing Facility-1 at NASA's Kennedy Space Center in Florida, NASA Administrator Charles Bolden announced the facilities where four shuttle orbiters will be displayed permanently at the conclusion of the Space Shuttle Program. Shuttle Enterprise, the first orbiter built, will move from the Smithsonian's National Air and Space Museum Steven F. Udvar-Hazy Center in Virginia to the Intrepid Sea, Air & Space Museum in New York. The Udvar-Hazy Center will become the new home for shuttle Discovery, which retired after completing its 39th mission in March. Shuttle Endeavour, which is preparing for its final flight at the end of the month, will go to the California Science Center in Los Angeles. Atlantis, which will fly the last planned shuttle mission in June, will be displayed at the Kennedy Space Center Visitor Complex in Florida. Later, employees, their families and friends, will celebrate the 30th anniversary of the first shuttle launch at the visitor complex. Photo credit: NASA/Kim Shiflett
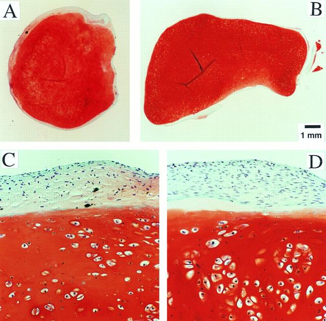
Dr. Lisa E. Freed of the Massachusetts Institute of Technology and her colleagues have reported that initially disc-like specimens tend to become spherical in space, demonstrating that tissues can grow and differentiate into distinct structures in microgravity. The Mir Increment 3 (Sept. 16, 1996 - Jan. 22, 1997) samples were smaller, more spherical, and mechanically weaker than Earth-grown control samples. These results demonstrate the feasibility of microgravity tissue engineering and may have implications for long human space voyages and for treating musculoskeletal disorders on earth. The work is sponsored by NASA's Office of Biological and Physical Research. The bioreactor is managed by the Biotechnology Cell Science Program at NASA's Johnson Space Center (JSC). NASA-sponsored bioreactor research has been instrumental in helping scientists to better understand normal and cancerous tissue development. In cooperation with the medical community, the bioreactor design is being used to prepare better models of human colon, prostate, breast and ovarian tumors. Cartilage, bone marrow, heart muscle, skeletal muscle, pancreatic islet cells, liver and kidney are just a few of the normal tissues being cultured in rotating bioreactors by investigators.

S83-45648 (8 Dec 1983) --- After more than 10 days in Earth orbit, the crewmembers for STS-9 egress the Space Shuttle Columbia following its successful landing at Edwards Air Force Base in southern California. Descending the stairs are (from bottom) Astronaut John W. Young, Brewster H. Shaw Jr. and Robert A. R. Parker; West German physicist Dr. Ulf Merbold; Astronaut Owen K. Garriott, and Dr. Byron K. Lichtenberg, a biomedical engineer from the Massachusetts Institute of Technology. Young was STS-9 crew commander; Shaw, pilot Drs. Parker and Garriott were mission specialists; and Drs. Merbold and Lichtenberg, payload specialists. Dr. Merbold was the European Space Agency?s first scientist to fly aboard a NASA spacecraft and Dr. Lichtenberg was America?s first non-astronaut to join a NASA crew in space. On hand to greet the crewmembers is George W. S. Abbey, director of flight crew operations.

CAPE CANAVERAL, Fla. – Managers of NASA’s Gravity Recovery and Interior Laboratory (GRAIL) mission participate in a post-launch news conference in the Press Site television auditorium at NASA's Kennedy Space Center in Florida. From left are Jim Adams, deputy director, Planetary Science Division, NASA's Science Mission Directorate; Maria Zuber, GRAIL principal investigator, Massachusetts Institute of Technology; and David Lehman, GRAIL project manager, Jet Propulsion Laboratory. Liftoff of the twin GRAIL spacecraft aboard a United Launch Alliance Delta II Heavy rocket was at 9:08:52 EDT Sept. 10 from Space Launch Complex 17B on Cape Canaveral Air Force Station in Florida. The spacecraft are embarking on a three-month journey to reach the moon. GRAIL will fly twin spacecraft in tandem around the moon to precisely measure and map variations in the moon's gravitational field. The mission will provide the most accurate global gravity field to date for any planet, including Earth. For more information, visit http://www.nasa.gov/grail. Photo credit: NASA/Kim Shiflett

CAPE CANAVERAL, Fla. – – A Gravity Recovery and Interior Laboratory (GRAIL) mission science briefing is held in the NASA Press Site auditorium at NASA's Kennedy Space Center in Florida. From left are Robert Fogel, NASA’s GRAIL program scientist; Maria Zuber, GRAIL principal investigator with the Massachusetts Institute of Technology; Sami Asmar, GRAIL deputy project scientist, NASA’s Jet Propulsion Laboratory; and Leesa Hubbard, teacher in residence, Sally Ride Science, San Diego. GRAIL is scheduled to launch Sept. 8 aboard a United Launch Alliance Delta II Heavy rocket from Cape Canaveral Air Force Station in Florida. GRAIL will fly twin spacecraft in tandem around the moon to precisely measure and map variations in the moon's gravitational field. The mission will provide the most accurate global gravity field to date for any planet, including Earth. This detailed information will reveal differences in the density of the moon's crust and mantle and will help answer fundamental questions about the moon's internal structure, thermal evolution, and history of collisions with asteroids. The aim is to map the moon's gravity field so completely that future moon vehicles can safely navigate anywhere on the moon’s surface. For more information, visit http://www.nasa.gov/grail. Photo credit: NASA/Kim Shiflett

Nobel laureate Professor Samuel C. C. Ting of the Massachusetts Institute of Technology pauses for a photo in the Space Station Processing Facility. Dr. Ting is directing an experiment, an international collaboration of some 37 universities and laboratories, using a state-of-the-art particle physics detector called the Alpha Magnetic Spectrometer (AMS), which will fly on a future launch to the International Space Station. Using the unique environment of space, the AMS will study the properties and origin of cosmic particles and nuclei including antimatter and dark matter. AMS flew initially as a Space Shuttle payload on the June 1998 mission STS-91 that provided the investigating team with data on background sources and verified the detector’s performance under actual space flight conditions. The detector’s second space flight is scheduled to be launched on mission UF-4 October 2003 for installation on the Space Station as an attached payload. Current plans call for operating the detector for three years before it is returned to Earth on the Shuttle. Using the Space Station offers the science team the opportunity to conduct the long-duration research above the Earth’s atmosphere necessary to collect sufficient data required to accomplish the science objectives

CAPE CANAVERAL, Fla. – – A Gravity Recovery and Interior Laboratory (GRAIL) mission science briefing is held in the NASA Press Site auditorium at NASA's Kennedy Space Center in Florida. From left are DC Agle, NASA Public Affairs; Robert Fogel, NASA’s GRAIL program scientist; Maria Zuber, GRAIL principal investigator with the Massachusetts Institute of Technology; Sami Asmar, GRAIL deputy project scientist, NASA’s Jet Propulsion Laboratory; and Leesa Hubbard, teacher in residence, Sally Ride Science, San Diego. GRAIL is scheduled to launch Sept. 8 aboard a United Launch Alliance Delta II Heavy rocket from Cape Canaveral Air Force Station in Florida. GRAIL will fly twin spacecraft in tandem around the moon to precisely measure and map variations in the moon's gravitational field. The mission will provide the most accurate global gravity field to date for any planet, including Earth. This detailed information will reveal differences in the density of the moon's crust and mantle and will help answer fundamental questions about the moon's internal structure, thermal evolution, and history of collisions with asteroids. The aim is to map the moon's gravity field so completely that future moon vehicles can safely navigate anywhere on the moon’s surface. For more information, visit http://www.nasa.gov/grail. Photo credit: NASA/Kim Shiflett

CAPE CANAVERAL, Fla. – Maria Zuber, GRAIL principal investigator at the Massachusetts Institute of Technology in Cambridge, speaks to a group of Tweetup participants at the Kennedy Space Center Visitor Complex in Florida during prelaunch activities for NASA's Gravity Recovery and Interior Laboratory (GRAIL) mission. Participants toured NASA’s Kennedy Space Center and got a close-up view of Space Launch Complex 17B at Cape Canaveral Air Force Station. The tweeters will share their experiences with followers through the social networking site Twitter. GRAIL will fly twin spacecraft in tandem around the moon to precisely measure and map variations in the moon’s gravitational field. The mission will provide the most accurate global gravity field to date for any planet, including Earth. This detailed information will reveal differences in the density of the moon’s crust and mantle and will help answer fundamental questions about the moon’s internal structure, thermal evolution, and history of collisions with asteroids. The aim is to map the moon’s gravity field so completely that future lunar vehicles can safely navigate anywhere on the moon’s surface. Launch is scheduled for 8:37:06 a.m. EDT Sept. 8. For more information, visit http://www.nasa.gov/grail. Photo credit: NASA/Gianni Woods

STS-94 Payload Commander Janice Voss smiles and gives a thumbs-up as she is assisted into her launch/entry suit in the Operations and Checkout (O&C) Building. She has flown on STS-83, STS-63 and STS-57. Voss holds a doctorate degree in aeronautics/astronautics from the Massachusetts Institute of Technology and has earned two NASA Space Flight Medals. As Payload Commander and a member of the Blue team, Voss will have overall responsibility for the operation of all of the MSL-1 experiments. During the experimentation phase of the mission, she be working primarily with three combustion experiments. She and six fellow crew members will shortly depart the O&C and head for Launch Pad 39A, where the Space Shuttle Columbia will lift off during a launch window that opens at 1:50 p.m. EDT, July 1. The launch window was opened 47 minutes early to improve the opportunity to lift off before Florida summer rain showers reached the space center

Christine Bonniksen, SMAP program executive with the Science Mission Directorate’s Earth Science Division, NASA Headquarters, left, Kent Kellogg, SMAP project manager, NASA Jet Propulsion Laboratory (JPL), second from left, Dara Entekhabi, SMAP science team lead, Massachusetts Institute of Technology, second from right, and Brad Doorn, SMAP applications lead, Science Mission Directorate’s Applied Sciences Program, NASA Headquarters, right, are seen during a briefing about the upcoming launch of the Soil Moisture Active Passive (SMAP) mission, Thursday, Jan. 08, 2015, at NASA Headquarters in Washington DC. The mission is scheduled for a Jan. 29 launch from Vandenberg Air Force Base in California, and will provide the most accurate, highest-resolution global measurements of soil moisture ever obtained from space. The data will be used to enhance scientists' understanding of the processes that link Earth's water, energy and carbon cycles. Photo Credit: (NASA/Aubrey Gemignani)

Some 290 million years ago, a star much like the sun wandered too close to the central black hole of its galaxy. Intense tides tore the star apart, which produced an eruption of optical, ultraviolet and X-ray light that first reached Earth in 2014. Now, a team of scientists using observations from NASA's Swift satellite have mapped out how and where these different wavelengths were produced in the event, named ASASSN-14li, as the shattered star's debris circled the black hole. "We discovered brightness changes in X-rays that occurred about a month after similar changes were observed in visible and UV light," said Dheeraj Pasham, an astrophysicist at the Massachusetts Institute of Technology (MIT) in Cambridge, Massachusetts, and the lead researcher of the study. "We think this means the optical and UV emission arose far from the black hole, where elliptical streams of orbiting matter crashed into each other." Read more: <a href="https://go.nasa.gov/2nLmSoa" rel="nofollow">go.nasa.gov/2nLmSoa</a> <b><a href="http://www.nasa.gov/audience/formedia/features/MP_Photo_Guidelines.html" rel="nofollow">NASA image use policy.</a></b> <b><a href="http://www.nasa.gov/centers/goddard/home/index.html" rel="nofollow">NASA Goddard Space Flight Center</a></b> enables NASA’s mission through four scientific endeavors: Earth Science, Heliophysics, Solar System Exploration, and Astrophysics. Goddard plays a leading role in NASA’s accomplishments by contributing compelling scientific knowledge to advance the Agency’s mission. <b>Follow us on <a href="http://twitter.com/NASAGoddardPix" rel="nofollow">Twitter</a></b> <b>Like us on <a href="http://www.facebook.com/pages/Greenbelt-MD/NASA-Goddard/395013845897?ref=tsd" rel="nofollow">Facebook</a></b> <b>Find us on <a href="http://instagrid.me/nasagoddard/?vm=grid" rel="nofollow">Instagram</a></b>
Dr. Lisa E. Freed of the Massachusetts Institute of Technology and her colleagues have reported that initially disc-like specimens tend to become spherical in space, demonstrating that tissues can grow and differentiate into distinct structures in microgravity. The Mir Increment 3 (Sept. 16, 1996 - Jan. 22, 1997) samples were smaller, more spherical, and mechanically weaker than Earth-grown control samples. These results demonstrate the feasibility of microgravity tissue engineering and may have implications for long human space voyages and for treating musculoskeletal disorders on earth. Final samples from Mir and Earth appeared histologically cartilaginous throughout their entire cross sections (5-8 mm thick), with the exception of fibrous outer capsules. Constructs grown on Earth (A) appeared to have a more organized extracellular matrix with more uniform collagen orientation as compared with constructs grown on Mir (B), but the average collagen fiber diameter was similar in the two groups (22 +- 2 nm) and comparable to that previously reported for developing articular cartilage. Randomly oriented collagen in Mir samples would be consistent with previous reports that microgravity disrupts fibrillogenesis. These are transmission electron micrographs of constructs from Mir (A) and Earth (B) groups at magnifications of x3,500 and x120,000 (Inset). The work is sponsored by NASA's Office of Biological and Physical Research. The bioreactor is managed by the Biotechnology Cell Science Program at NASA's Johnson Space Center (JSC). NASA-sponsored bioreactor research has been instrumental in helping scientists to better understand normal and cancerous tissue development. In cooperation with the medical community, the bioreactor design is being used to prepare better models of human colon, prostate, breast and ovarian tumors. Credit: Proceedings of the National Academy of Sciences.

Lisa Freed and Gordana Vunjak-Novakovic, both of the Massachusetts Institute of Technology (MIT), have taken the first steps toward engineering heart muscle tissue that could one day be used to patch damaged human hearts. Cells isolated from very young animals are attached to a three-dimensional polymer scaffold, then placed in a NASA bioreactor. The cells do not divide, but after about a week start to cornect to form a functional piece of tissue. Functionally connected heart cells that are capable of transmitting electrical signals are the goal for Freed and Vunjak-Novakovic. Electrophysiological recordings of engineered tissue show spontaneous contractions at a rate of 70 beats per minute (a), and paced contractions at rates of 80, 150, and 200 beats per minute respectively (b, c, and d). The NASA Bioreactor provides a low turbulence culture environment which promotes the formation of large, three-dimensional cell clusters. The Bioreactor is rotated to provide gentle mixing of fresh and spent nutrient without inducing shear forces that would damage the cells. Due to their high level of cellular organization and specialization, samples constructed in the bioreactor more closely resemble the original tumor or tissue found in the body. NASA-sponsored bioreactor research has been instrumental in helping scientists to better understand normal and cancerous tissue development. In cooperation with the medical community, the bioreactor design is being used to prepare better models of human colon, prostate, breast and ovarian tumors. Cartilage, bone marrow, heart muscle, skeletal muscle, pancreatic islet cells, liver and kidney are just a few of the normal tissues being cultured in rotating bioreactors by investigators. The work is sponsored by NASA's Office of Biological and Physical Research. The bioreactor is managed by the Biotechnology Cell Science Program at NASA's Johnson Space Center (JSC). Credit: NASA and MIT.

Once the United States' space program had progressed from Earth's orbit into outerspace, the prospect of building and maintaining a permanent presence in space was realized. To accomplish this feat, NASA launched a temporary workstation, Skylab, to discover the effects of low gravity and weightlessness on the human body, and also to develop tools and equipment that would be needed in the future to build and maintain a more permanent space station. The structures, techniques, and work schedules had to be carefully designed to fit this unique construction site. The components had to be lightweight for transport into orbit, yet durable. The station also had to be made with removable parts for easy servicing and repairs by astronauts. All of the tools necessary for service and repairs had to be designed for easy manipulation by a suited astronaut. Construction methods had to be efficient due to the limited time the astronauts could remain outside their controlled environment. In lieu of all the specific needs for this project, an environment on Earth had to be developed that could simulate a low gravity atmosphere. A Neutral Buoyancy Simulator (NBS) was constructed by NASA's Marshall Space Flight Center (MSFC) in 1968. Since then, NASA scientists have used this facility to understand how humans work best in low gravity and also provide information about the different kinds of structures that can be built. Pictured is a Massachusetts Institute of Technology (MIT) student working in a spacesuit on the Experimental Assembly of Structures in Extravehicular Activity (EASE) project which was developed as a joint effort between MFSC and MIT. The EASE experiment required that crew members assemble small components to form larger components, working from the payload bay of the space shuttle. The MIT student in this photo is assembling two six-beam tetrahedrons.

Once the United States' space program had progressed from Earth's orbit into outerspace, the prospect of building and maintaining a permanent presence in space was realized. To accomplish this feat, NASA launched a temporary workstation, Skylab, to discover the effects of low gravity and weightlessness on the human body, and also to develop tools and equipment that would be needed in the future to build and maintain a more permanent space station. The structures, techniques, and work schedules had to be carefully designed to fit this unique construction site. The components had to be lightweight for transport into orbit, yet durable. The station also had to be made with removable parts for easy servicing and repairs by astronauts. All of the tools necessary for service and repairs had to be designed for easy manipulation by a suited astronaut. Construction methods had to be efficient due to the limited time the astronauts could remain outside their controlled environment. In lieu of all the specific needs for this project, an environment on Earth had to be developed that could simulate a low gravity atmosphere. A Neutral Buoyancy Simulator (NBS) was constructed by NASA's Marshall Space Flight Center (MSFC) in 1968. Since then, NASA scientists have used this facility to understand how humans work best in low gravity and also provide information about the different kinds of structures that can be built. Pictured is a Massachusetts Institute of Technology (MIT) student working in a spacesuit on the Experimental Assembly of Structures in Extravehicular Activity (EASE) project which was developed as a joint effort between MFSC and MIT. The EASE experiment required that crew members assemble small components to form larger components, working from the payload bay of the space shuttle. The MIT student in this photo is assembling two six-beam tetrahedrons.

Once the United States' space program had progressed from Earth's orbit into outerspace, the prospect of building and maintaining a permanent presence in space was realized. To accomplish this feat, NASA launched a temporary workstation, Skylab, to discover the effects of low gravity and weightlessness on the human body, and also to develop tools and equipment that would be needed in the future to build and maintain a more permanent space station. The structures, techniques, and work schedules had to be carefully designed to fit this unique construction site. The components had to be lightweight for transport into orbit, yet durable. The station also had to be made with removable parts for easy servicing and repairs by astronauts. All of the tools necessary for service and repairs had to be designed for easy manipulation by a suited astronaut. Construction methods had to be efficient due to the limited time the astronauts could remain outside their controlled environment. In lieu of all the specific needs for this project, an environment on Earth had to be developed that could simulate a low gravity atmosphere. A Neutral Buoyancy Simulator (NBS) was constructed by NASA's Marshall Space Flight Center (MSFC) in 1968. Since then, NASA scientists have used this facility to understand how humans work best in low gravity and also provide information about the different kinds of structures that can be built. Pictured is a Massachusetts Institute of Technology (MIT) student working in a spacesuit on the Experimental Assembly of Structures in Extravehicular Activity (EASE) project which was developed as a joint effort between MFSC and MIT. The EASE experiment required that crew members assemble small components to form larger components, working from the payload bay of the space shuttle. The MIT student in this photo is assembling two six-beam tetrahedrons.

Dr. Lisa E. Freed of the Massachusetts Institute of Technology and her colleagues have reported that initially disc-like specimens of cartilage tend to become spherical in space, demonstrating that tissues can grow and differentiate into distinct structures in microgravity. The Mir Increment 3 (Sept. 16, 1996 - Jan. 22, 1997) samples were smaller, more spherical, and mechanically weaker than Earth-grown control samples. These results demonstrate the feasibility of microgravity tissue engineering and may have implications for long human space voyages and for treating musculoskeletal disorders on earth. Constructs grown on Mir (A) tended to become more spherical, whereas those grown on Earth (B) maintained their initial disc shape. These findings might be related to differences in cultivation conditions, i.e., videotapes showed that constructs floated freely in microgravity but settled and collided with the rotating vessel wall at 1g (Earth's gravity). In particular, on Mir the constructs were exposed to uniform shear and mass transfer at all surfaces such that the tissue grew equally in all directions, whereas on Earth the settling of discoid constructs tended to align their flat circular areas perpendicular to the direction of motion, increasing shear and mass transfer circumferentially such that the tissue grew preferentially in the radial direction. A and B are full cross sections of constructs from Mir and Earth groups shown at 10-power. C and D are representative areas at the construct surfaces enlarged to 200-power. They are stained red with safranin-O. NASA-sponsored bioreactor research has been instrumental in helping scientists to better understand normal and cancerous tissue development. The work is sponsored by NASA's Office of Biological and Physical Research. The bioreactor is managed by the Biotechnology Cell Science Program at NASA's Johnson Space Center (JSC). Photo credit: Proceedings of the National Academy of Sciences.

Once the United States' space program had progressed from Earth's orbit into outerspace, the prospect of building and maintaining a permanent presence in space was realized. To accomplish this feat, NASA launched a temporary workstation, Skylab, to discover the effects of low gravity and weightlessness on the human body, and also to develop tools and equipment that would be needed in the future to build and maintain a more permanent space station. The structures, techniques, and work schedules had to be carefully designed to fit this unique construction site. The components had to be lightweight for transport into orbit, yet durable. The station also had to be made with removable parts for easy servicing and repairs by astronauts. All of the tools necessary for service and repairs had to be designed for easy manipulation by a suited astronaut. Construction methods had to be efficient due to the limited time the astronauts could remain outside their controlled environment. In lieu of all the specific needs for this project, an environment on Earth had to be developed that could simulate a low gravity atmosphere. A Neutral Buoyancy Simulator (NBS) was constructed by NASA Marshall Space Flight Center (MSFC) in 1968. Since then, NASA scientists have used this facility to understand how humans work best in low gravity and also provide information about the different kinds of structures that can be built. As part of this experimentation, the Experimental Assembly of Structures in Extravehicular Activity (EASE) project was developed as a joint effort between MFSC and the Massachusetts Institute of Technology (MIT). The EASE experiment required that crew members assemble small components to form larger components, working from the payload bay of the space shuttle. Pictured is an entire unit that has been constructed and is sitting in the bottom of a mock-up shuttle cargo bay pallet.

Once the United States' space program had progressed from Earth's orbit into outerspace, theprospect of building and maintaining a permanent presence in space was realized. To accomplish this feat, NASA launched a temporary workstation, Skylab, to discover the effects of low gravity and weightlessness on the human body, and also to develop tools and equipment that would be needed in the future to build and maintain a more permanent space station. The structures, techniques, and work schedules had to be carefully designed to fit this unique construction site. The components had to be lightweight for transport into orbit, yet durable. The station also had to be made with removable parts for easy servicing and repairs by astronauts. All of the tools necessary for service and repairs had to be designed for easy manipulation by a suited astronaut. Construction methods had to be efficient due to the limited time the astronauts could remain outside their controlled environment. In lieu of all the specific needs for this project, an environment on Earth had to be developed that could simulate a low gravity atmosphere. A Neutral Buoyancy Simulator (NBS) was constructed by NASA's Marshall Space Flight Center (MSFC) in 1968. Since then, NASA scientists have used this facility to understand how humans work best in low gravity and also provide information about the different kinds of structures that can be built. Pictured is a Massachusetts Institute of Technology (MIT) student working in a spacesuit on the Experimental Assembly of Structures in Extravehicular Activity (EASE) project which was developed as a joint effort between MFSC and MIT. The EASE experiment required that crew members assemble small components to form larger components, working from the payload bay of the space shuttle. The MIT student in this photo is assembling two six-beam tetrahedrons.